본문으로 바로가기

병원뉴스

서울대병원, “증상 없어도 영상에서 보이는 면역관련 이상반응, 간세포암 면역치료 예후와 연관”

조회수 : 74 작성일 : 2025-11-25

서울대병원, “증상 없어도 영상에서 보이는 면역관련 이상반응, 간세포암 면역치료 예후와 연관”
- AteBeva 치료 간세포암 환자 198명 분석...영상 기반 무증상 면역반응, 독립적 예후 인자로 확인
- CT에서만 관찰된 변화도 생존기간·치료 반응률과 유의한 연관

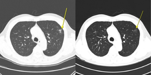
[그림1] 무증상 일시적 면역관련 폐렴 사례

[그림1] 무증상 일시적 면역관련 폐렴 사례: 이 환자는 AteBeva 치료 3개월째 시행한 저선량 흉부 CT(왼쪽)에서 폐 주변부에 미세 염증성 음영이 나타났으나, 6개월째 CT(오른쪽)에서는 자연적으로 소실되는 양상을 보였다. 치료는 지속됐으며,이후 부분 관해(PR)를 달성했고 총 19.7개월간 무진행 생존(PFS)을 유지했다.


서울대병원 연구팀이 간세포암 환자의 1차 면역항암치료 과정에서, 환자가 증상을 느끼지 않더라도 CT에서 나타나는 경미한 면역관련 변화가 생존기간 및 치료 효과와 연관될 수 있다는 연구 결과를 발표했다. 그동안 단순한 이상 소견으로 여겨졌던 영상 변화가 실제로는 치료 경과를 예측하는 의미 있는 지표가 될 수 있음을 확인한 것이다.

간세포암은 B·C형 간염, 간경변 등 만성 간질환 환자에서 주로 발생하며 초기 증상이 거의 없어 뒤늦게 발견되는 경우가 많다. 최근 면역항암제가 간세포암의 중요한 치료 옵션으로 자리 잡았지만, 치료 중 나타나는 ‘면역관련 이상반응(irAEs)’이 실제 예후와 어떤 연관을 갖는지는 충분히 알려져 있지 않았다. 특히 환자에게 불편한 증상이 전혀 없더라도 영상에서만 관찰되는 변화가 어떤 의미를 갖는지는 더욱 연구가 필요한 상황이었다.

서울대병원 소화기내과 유수종 교수·박제연 진료교수와 영상의학과 이동호 교수 연구팀은 2020년 10월부터 2023년 6월까지 아테졸리주맙·베바시주맙(Atezolizumab–Bevacizumab, AteBeva) 병합요법을 받은 절제 불가능 간세포암 환자 198명을 대상으로 치료 중 발생한 이상반응이 임상 경과에 미치는 영향을 후향적으로 분석한 연구 결과를 25일 발표했다.

연구팀은 치료 중 나타난 이상반응 양상에 따라 환자를 ▲이상반응이 전혀 없는 ‘무이상반응군’ ▲임상 증상이나 혈액검사 이상을 동반한 ‘증상성 이상반응군(증상군)’ ▲증상은 없지만 CT에서 폐 주변부 미세 염증성 음영, 일시적 대장벽 비후, 장간막 염증, 반응성 림프절 종대 등 면역반응으로 해석되는 변화만 나타난 ‘무증상 영상 이상반응군(무증상 영상군)’으로 분류했다. 전체 198명 중 무증상 영상군은 12명, 증상군은 56명, 무이상반응군은 130명이었다.

이후 연구팀은 세 군의 전체 생존기간(OS), 무진행생존기간(PFS), 질병조절률(DCR) 등을 비교해 임상적 의미를 분석했다. 그 결과, 무증상 영상군에서 가장 뚜렷한 예후 개선 효과가 확인됐다.

6·12·18·24개월 시점의 전체 생존율을 비교하면, 무증상 영상군은 각각 100.0%, 82.5%, 82.5%, 82.5%로 가장 높았고, 증상군은 89.1%, 64.1%, 41.7%, 40.5%, 무이상반응군은 72.3%, 48.3%, 31.3%, 19.4%였다. 치료 중 증상이 없더라도 영상에서 면역반응을 보인 환자들이 생존기간 면에서 좋은 경과를 보인 것이다.

[그림2]무이상반응군(Non-AE), 무증상 영상군(Asymp AE), 증상군(Symp AE)에서 전체 생존율(OS, 왼쪽)과 무진행생존율(PFS, 오른쪽)을 Kaplan–Meier 곡선과 시간 종속 Cox 회귀모형으로 비교한 결과.

[그림2] 무이상반응군(Non-AE), 무증상 영상군(Asymp AE), 증상군(Symp AE)에서 전체 생존율(OS, 왼쪽)과 무진행생존율(PFS, 오른쪽)을 Kaplan–Meier 곡선과 시간 종속 Cox 회귀모형으로 비교한 결과. 무증상 영상군(파란색)은 사망위험과 질병 진행 위험이 가장 낮아 통계적으로 유의하게 우수한 예후를 보였다.


또한 IPTW 보정을 적용한 시간 종속 Cox 회귀 분석에서도, 무증상 영상군은 무이상반응군에 비해 사망 위험이 약 81% 낮았으며(HR 0.19), 증상군 역시 약 58% 낮은 것으로 나타났다(HR 0.42). 두 군 모두 사망 위험이 통계적으로 유의하게 낮았다(P=0.02). 이는 증상이 없어도 영상에서 보이는 변화가 실제 생존기간에 중요한 영향을 미칠 수 있음을 보여준다.

무진행생존기간(PFS) 역시 무증상 영상군과 증상군에서 더 길게 유지됐으며, 특히 무증상 영상군은 PFS의 독립적인 예후 인자로 확인됐다. 즉, 영상에서 관찰되는 작은 변화만으로도 치료 경과를 예측하는 데 의미 있는 정보를 얻을 수 있다는 의미다.

치료 반응률에서도 차이가 분명했다. 무증상 영상군의 객관적 반응률(ORR)은 41.7%, 질병조절률(DCR)은 100%로 가장 높았으며, 증상군은 각각 26.8%와 92.9%, 무이상반응군은 13.8%와 60.0%로 뒤를 이었다. 이는 환자가 증상을 느끼지 않더라도 CT에서 보이는 경미한 변화가 치료 반응이 좋은 환자를 조기에 식별하는 중요한 단서가 될 수 있음을 시사한다.

이번 연구는 면역항암치료 중 관찰되는 영상 변화가 단순한 부작용을 넘어 환자의 예후를 평가하는 핵심 지표가 될 수 있음을 보여주며, 절제 불가능 간세포암 환자의 치료 전략을 세우는 데 중요한 근거를 제공한다. 연구팀은 다만 중증 면역관련 이상반응은 예후 악화와 연관될 수 있어 별도의 관리가 필요하다고 강조했다.

유수종 교수(소화기내과)는 “환자가 특별한 증상을 느끼지 않더라도 영상에서 나타나는 미세한 변화에는 중요한 정보가 담겨 있을 수 있다”며 “정기적인 영상검사를 통해 이러한 변화를 세심하게 관찰하면 환자의 상태를 더욱 정확하게 파악하고 치료 전략을 보다 안전하게 조정할 수 있다”고 말했다.

한편, 이번 연구는 국제 학술지 ‘Liver Cancer’ 최근호에 게재됐다.

[사진 왼쪽부터] 서울대병원 소화기내과 유수종 교수·박제연 진료교수, 영상의학과 이동호 교수
[사진 왼쪽부터] 서울대병원 소화기내과 유수종 교수·박제연 진료교수, 영상의학과 이동호 교수

파일첨부 논문.pdf
이전글 이전글이 없습니다.
다음글 서울대병원, AI 기반 가상 대장내시경 시뮬레이터 개발

홈페이지 오류신고

서울대학교병원 홈페이지의 불편한점이나 개선사항 등의 의견을 작성해 주시면 검토 후 반영하도록 하겠습니다.
진료과 및 의료진 추천이나 진료일정 및 상담 문의는 진료 예약센터로 전화해 주십시오. 예약센터 : 1588-5700

홈페이지 의견접수 입력
홈페이지 의견접수(작성자, 연락처, 이메일, 구분, 제목, 내용)
작성자
*연락처 - -
*이메일 @
구분
*제목
*내용

1. 수집 항목 : 작성자명, 연락처, 이메일 주소

2. 수집 및 이용 목적 : 의견 회신에 따른 연락처 정보 확인

3. 보유 및 이용 기간 : 상담 서비스를 위해 검토 완료 후 3개월 간 보관하며,
이후 해당 정보를 지체 없이 파기

만족도 통계

만족도 통계(페이지, 총응답자, 정보게시일)
페이지
총응답자
정보게시일

매우만족

만족

보통

불만족

매우 불만족

이메일주소 무단수집 거부

본 웹사이트에서는 이메일 주소가 무단 수집되는 것을 거부하며,
위반 시, 정보통신망법에 의해 처벌됨을 유념하시기 바랍니다.

뷰어 다운로드

뷰어는 파일 문서 보기만 지원하는 프로그램입니다.
뷰어로는 문서 내용을 수정하거나 삭제, 편집 할 수 없습니다.

서울대학교병원에서 사용하는 문서는 한글2002, 워드, 파워포인트, 엑셀, PDF(아크로뱃리더) 5가지 입니다.

사용하시는 컴퓨터에 해당 뷰어가 설치되어 있지 않은 경우 뷰어를 다운로드 받아 각 개인 컴퓨터에 설치하셔야 합니다.
뷰어는 사용하시는 컴퓨터에 한 번만 설치하시면 됩니다.

홈페이지 의견접수

서울대학교병원 홈페이지의

개선사항에 대한 의견을 보내주시면 검토하여보다
편리한 홈페이지
를 만들겠습니다.


※ 개별 답변을 드리는 창구가 아니오며,
병원에 대한 전반적인 문의는 전화'1588-5700' (예약문의: 1번, 기타: 2번)로,
불편이나 고충 관련고객의 소리로 접수 부탁드립니다.

홈페이지 의견접수 입력
홈페이지 의견접수(작성자, 구분, 제목, 내용)
작성자
구분
*제목
*내용

개인정보 수집/이용 목적

※ 개인정보 수집/이용 목적

1. 수집/이용 목적: 홈페이지 의견접수를 통한 개선사항 검토 및 반영
2. 수집하는 항목: 이름, 제목, 내용
3. 개인정보의 보유 및 이용기간 : 2년
4. 동의를 거부할 권리가 있으며, 전화예약상담(1588-5700)또는 고객상담실(02-2072-2002​)을 이용하실 수
   있습니다.

진료회원인증

최초 1회 진료회원 인증이 필요합니다.

서울대학교병원은 진료 예약 시 건강보험 가입여부 확인 및 진료회원 인증을 위해 주민등록번호 또는 환자번호(진찰권번호)를 수집하고 있습니다.

주민등록번호 수집 고지

개인정보 보호법 제15조 제1항 제2호에 따라, 정보주체의 동의 없이 개인정보를 수집·이용합니다.
- 수집 목적 : 건강보험 자격확인 및 진료회원인증
- 수집 근거 : 건강보험법 제12조, 의료법 제22조 및 동법 시행규칙 제14조
- 보유 기간 : 의료법 시행규칙 제15조에 따른 보존기간에 따름

이름
-
본인인증

전체 메뉴

전체 검색

전체 검색