본문으로 바로가기

병원뉴스

서울대병원, 소아 모야모야병 진단·예후 예측 바이오마커 발견

조회수 : 49 작성일 : 2025-11-06

서울대병원, 소아 모야모야병 진단·예후 예측 바이오마커 발견
- 뇌척수액 단백체 분석해 바이오마커‘SLTIRK1’발견...진단 성능 AUROC 0.926
- 뇌경색 발생(BASP1·LDHA), 수술 예후(CD9·EMILIN1) 관련 단백질 추가 확인

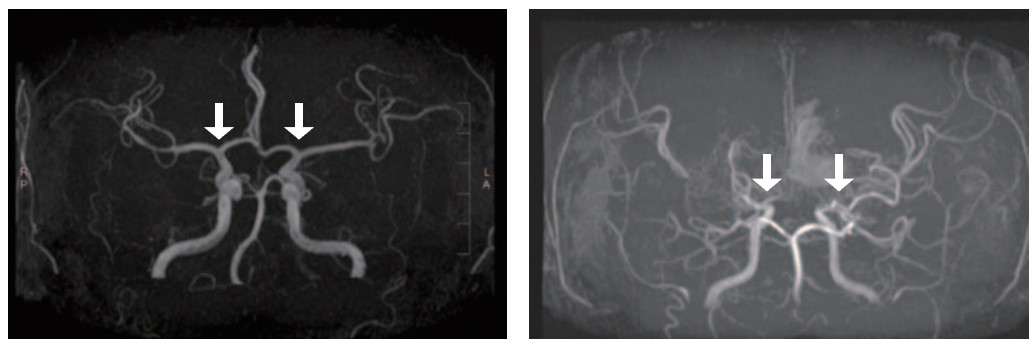
[사진 왼쪽부터] 정상 및 모야모야병 환자의 뇌혈관
[사진 왼쪽부터] 정상 및 모야모야병 환자의 뇌혈관


소아 모야모야병 조기 진단 가능성을 높이는 새로운 바이오마커가 발견됐다. 모야모야병 환자의 뇌척수액에서 ‘SLITRK1’ 단백질 발현이 유의미하게 높은 것으로 나타났다. 또한 뇌경색, 수술 예후 등 모야모야병의 임상 특성과 연관된 단백질도 확인돼, 난치성 질환인 모야모야병 치료에 새로운 패러다임을 제시할 것으로 기대된다.

소아 모야모야병은 뇌로 혈액을 공급하는 혈관이 특별한 원인 없이 점차 좁아지는 만성 진행성 뇌혈관질환이다. 이 질환이 있으면 부족한 혈류를 보충하기 위해 비정상적인 미세혈관이 형성되는데, 이들은 혈류를 충분히 공급하기 어렵고 파열되기 쉬워 뇌경색·뇌출혈 등 소아 뇌졸중을 유발할 수 있다.

모야모야병 확진은 뇌혈관 조영술을 통해 이뤄진다. 그러나 검사 전 진정이나 마취를 필요로 하는 경우가 많아 소아 환자의 부담이 커 새로운 진단 방법이 필요했다. 최근 뇌척수액이 중추신경계 질환 바이오마커를 발굴하는 유용한 자원으로 주목받고 있으나, 이를 활용한 대규모 모야모야병 연구는 부족한 실정이었다.

서울대병원 소아신경외과 김승기 교수와 소아암·희귀질환지원사업단 최승아·융합의학과 한도현 교수(단기순 박사), 강북삼성병원 중환자의학과 심영보 교수팀은 소아 환자 118명의 뇌척수액을 분석해 모야모야병의 잠재적 바이오마커를 제시한 결과를 6일 발표했다.

연구팀은 모야모야병 환자군(104명)과 대조군(14명)의 뇌척수액 내 단백체를 포괄적으로 분석했다. 그 결과 총 2400여개의 단백질이 확인됐으며, 그중 8개가 환자군에서 상대적으로 발현 강도가 높았다. 이 단백질들을 대상으로 한 효소면역분석에서 특히 신경세포 성장과 연관된 ‘SLITRK1’의 농도가 높게 나타났다. 이는 신경세포가 모야모야병 진행 기전에 영향을 줄 수 있음을 시사한다.

[그림1] 모야모야병 환자군 및 대조군의 뇌척수액 단백체 분석 결과
[그림1] 모야모야병 환자군 및 대조군의 뇌척수액 단백체 분석 결과. 환자군에서 발현 강도가 높은 단백질 8종 중, 신경세포 성장을 조절한다고 알려진 ‘SLITRK1’ 단백질 농도가 대조군 대비 유의미하게 높았다.


진단 성능 검증 결과, SLITRK1는 AUROC 0.926으로 우수한 성능을 보였다. 연구팀은 이 단백질이 모야모야병의 진단 바이오마커가 될 수 있다고 강조했다.

추가적으로 연구팀은 가중 유전자 공발현 네트워크 분석을 통해 변화 패턴이 유사한 단백질들을 그룹화하고, 모야모야병 임상 특성과의 연관성을 규명했다. 그 결과, 수술 전 뇌경색 발생 환자는 BASP1, LDH 발현이 높았고, 좋은 수술 예후를 보인 환자는 CD9, EMILIN1 발현이 높은 것으로 나타났다. 특히 신생 혈관 형성을 촉진하는 CD9 발현이 높을수록 mRS 점수(수술 후 기능 장애 정도)가 낮아져, 이 단백질과 모야모야병 수술 예후의 연관성이 확인됐다.

[그림2] CD9 단백질 발현에 따른 예후 비교
[그림2] CD9 단백질 발현에 따른 예후 비교. 모야모야병 환자군은 대조군 대비 신생 혈관 형성을 촉진하는 CD9 발현이 낮았다. 환자군 내에서는 CD9 발현이 높을수록 mRS가 낮은 좋은 예후를 보였다.


서울대병원 김승기 교수(소아신경외과)는 “이번 연구를 통해 뇌척수액에서 소아 모야모야병의 조기 진단과 치료를 위한 바이오마커를 발견하고, 효율적인 액체 생검 기반 진단법 개발에 한 걸음 다가섰다”며 “특히 새롭게 규명된 모야모야명 예후 예측 지표는 맞춤형 치료 전략 수립의 토대가 될 수 있을 것”이라고 말했다.

한편, 이번 연구는 한국연구재단, 서울대병원 연구기금, 이건희 소아암·희귀질환 극복사업 지원으로 수행됐으며, 뇌졸중 분야 권위지 ‘임상 뇌졸중 연구(Translational Stroke Research)’ 최신호에 게재됐다.

[사진 왼쪽부터] 소아신경외과 김승기 교수, 강북삼성병원 심영보 교수, 소아암·희귀질환지원사업단 최승아 교수, 융합의학과 한도현 교수·단기순 박사
[사진 왼쪽부터] 소아신경외과 김승기 교수, 강북삼성병원 심영보 교수, 소아암·희귀질환지원사업단 최승아 교수, 융합의학과 한도현 교수·단기순 박사


홈페이지 오류신고

서울대학교병원 홈페이지의 불편한점이나 개선사항 등의 의견을 작성해 주시면 검토 후 반영하도록 하겠습니다.
진료과 및 의료진 추천이나 진료일정 및 상담 문의는 진료 예약센터로 전화해 주십시오. 예약센터 : 1588-5700

홈페이지 의견접수 입력
홈페이지 의견접수(작성자, 연락처, 이메일, 구분, 제목, 내용)
작성자
*연락처 - -
*이메일 @
구분
*제목
*내용

1. 수집 항목 : 작성자명, 연락처, 이메일 주소

2. 수집 및 이용 목적 : 의견 회신에 따른 연락처 정보 확인

3. 보유 및 이용 기간 : 상담 서비스를 위해 검토 완료 후 3개월 간 보관하며,
이후 해당 정보를 지체 없이 파기

만족도 통계

만족도 통계(페이지, 총응답자, 정보게시일)
페이지
총응답자
정보게시일

매우만족

만족

보통

불만족

매우 불만족

이메일주소 무단수집 거부

본 웹사이트에서는 이메일 주소가 무단 수집되는 것을 거부하며,
위반 시, 정보통신망법에 의해 처벌됨을 유념하시기 바랍니다.

뷰어 다운로드

뷰어는 파일 문서 보기만 지원하는 프로그램입니다.
뷰어로는 문서 내용을 수정하거나 삭제, 편집 할 수 없습니다.

서울대학교병원에서 사용하는 문서는 한글2002, 워드, 파워포인트, 엑셀, PDF(아크로뱃리더) 5가지 입니다.

사용하시는 컴퓨터에 해당 뷰어가 설치되어 있지 않은 경우 뷰어를 다운로드 받아 각 개인 컴퓨터에 설치하셔야 합니다.
뷰어는 사용하시는 컴퓨터에 한 번만 설치하시면 됩니다.

홈페이지 의견접수

서울대학교병원 홈페이지의

개선사항에 대한 의견을 보내주시면 검토하여보다
편리한 홈페이지
를 만들겠습니다.


※ 개별 답변을 드리는 창구가 아니오며,
병원에 대한 전반적인 문의는 전화'1588-5700' (예약문의: 1번, 기타: 2번)로,
불편이나 고충 관련고객의 소리로 접수 부탁드립니다.

홈페이지 의견접수 입력
홈페이지 의견접수(작성자, 구분, 제목, 내용)
작성자
구분
*제목
*내용

개인정보 수집/이용 목적

※ 개인정보 수집/이용 목적

1. 수집/이용 목적: 홈페이지 의견접수를 통한 개선사항 검토 및 반영
2. 수집하는 항목: 이름, 제목, 내용
3. 개인정보의 보유 및 이용기간 : 2년
4. 동의를 거부할 권리가 있으며, 전화예약상담(1588-5700)또는 고객상담실(02-2072-2002​)을 이용하실 수
   있습니다.

진료회원인증

최초 1회 진료회원 인증이 필요합니다.

서울대학교병원은 진료 예약 시 건강보험 가입여부 확인 및 진료회원 인증을 위해 주민등록번호 또는 환자번호(진찰권번호)를 수집하고 있습니다.

주민등록번호 수집 고지

개인정보 보호법 제15조 제1항 제2호에 따라, 정보주체의 동의 없이 개인정보를 수집·이용합니다.
- 수집 목적 : 건강보험 자격확인 및 진료회원인증
- 수집 근거 : 건강보험법 제12조, 의료법 제22조 및 동법 시행규칙 제14조
- 보유 기간 : 의료법 시행규칙 제15조에 따른 보존기간에 따름

이름
-
본인인증

전체 메뉴

전체 검색

전체 검색