본문으로 바로가기

병원뉴스

서울대병원, 폐 섬유증 유전자 치료 가능성 제시

조회수 : 271 작성일 : 2025-10-02

서울대병원, 폐 섬유증 유전자 치료 가능성 제시
- 폐 섬유증 동물 모델 및 체외배양 환자 폐조직 분석 결과 발표
- 항섬유화 유전자 TIF1γ, 간·신장에 이어 폐 섬유화 치료 효과 확인

[자료1] 폐 섬유증 악화 및 차단 기전
[자료1] 폐 섬유증 악화 및 차단 기전. TIF1γ 유전자는 대식세포 흥분 단계, 간엽세포 형질전환 단계, 섬유모세포 활성화 단계에서 모두 차단효과를 발휘함.

심각한 호흡장애를 초래할 수 있지만 마땅한 치료 방법이 없던 폐 섬유증의 새로운 치료 가능성이 제시됐다. 섬유화 억제 유전자 ‘TIF1γ’가 간경변·신장섬유증에 이어 폐 섬유증에서도 치료 효과를 보인다는 사실을 국내 연구진이 세계 최초로 규명해 ‘Molecular Therapy(IF;12)’에 게재했다.

폐 섬유증은 폐 세포가 딱딱한 섬유조직으로 변화하는 난치성 호흡기 질환이다. 진행될수록 폐 기능이 떨어져 저산소증이 발생하며, 심각한 호흡장애로 이어질 수 있다. 그러나 한 번 섬유화된 폐 조직은 회복이 어렵고, 섬유화를 막을 방법이 존재하지 않아 치료에 한계가 있었다.

서울대병원 의생명연구원 김효수·이은주 교수(서울대 문도담 박사) 연구팀은 동물모델과 체외배양 환자 폐조직을 분석해 폐 섬유증의 유전자 치료 가능성을 확인했다고 2일 발표했다.

연구팀은 항섬유화 유전자 ‘TIF1γ’를 잠재적 치료제로 주목했다. 이 유전자는 연구팀의 기존 연구를 통해 간·콩팥에서 섬유화 억제 효과가 확인된 바 있으며, 실제 폐 섬유증 환자의 폐조직을 분석하자 TIF1γ 발현이 건강한 사람보다 현저히 낮아져 있었다.

이후 코돈 최적화로 발현을 극대화하고, 벡터 백본과 나노지질체를 적용해 임상 가능성을 높인 TIF1γ 유전자치료제를 폐 섬유증 동물 모델에 투여해 세포 변화를 확인했다.

그 결과, TIF1γ는 폐 섬유증 악화 기전(독소물질→대식세포 활성화→염증성 사이토카인 분비→폐상피세포(AT2)가 섬유모세포로 변화&섬유모세포 활성화)에 관여하는 세포를 복합적으로 조절해 섬유화를 억제하는 것으로 나타났다. 즉, TIF1γ 치료군의 폐에서는 대식세포가 억제돼 염증 사이토카인 분비가 감소했으며, 폐상피세포의 변화 및 섬유모세포의 섬유화 활성화를 촉진하는 TGF-β 신호도 차단됐다. 이는 섬유화 진행을 억제하여 폐 기능이 개선되는 결과로 이어졌다.

[자료2] TIF1γ 유전자의 섬유화 차단 기전
[자료2] TIF1γ 유전자의 섬유화 차단 기전. (1)TIF1γ는 AT2 세포와 섬유모세포에서 TGF-β  신호를 차단하고, (2)대식세포에서 염증 신호 경로(NF-kB, MAPK)를 복합적으로 차단하여 강력한 효과를 보임

추가적으로 체외 배양한 인간 폐조직(PCLS) 실험에서도 TIF1γ 유전자치료제의 효과는 동일했다. 이 결과는 단일 유전자 치료만으로 폐 섬유증을 효과적으로 억제할 수 있음을 보여주며, 섬유화 질환에 대한 혁신적인 바이오치료제 개발 가능성을 제시한다고 연구팀은 설명했다.

[자료3] 미세CT 기반 동물 폐조직 분석

[자료3] 미세CT 기반 동물 폐조직 분석. TIF1γ 적용 후 섬유화 영역(빨간색)이 감소함

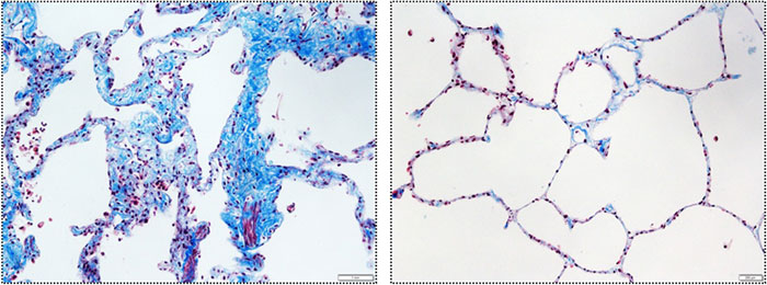
[자료4] 체외배양 인간 폐 조직 분석

[자료4] 체외배양 인간 폐 조직 분석. TIF1γ 적용 후 섬유화로 인한 콜라겐 침착(파란색)이 감소되고 폐포의 구조가 유지됨


김효수 교수는 “현재 임상 적용이 가능한 고품질 TIF1γ 유전자 치료제를 완성하기 위해 GMP 공정 개발 단계를 수행 중”이며 “개발이 완료되면 안전성 평가 및 임상시험 진입을 모색하여 간경변증·콩팥섬유증·폐 섬유증 등 다양한 장기조직의 섬유증 치료에 사용할 수 있는 유전자 치료제로 개발하겠다”고 말했다.

한편, 이번 연구는 보건복지부 및 한국보건산업진흥원 연구중심병원사업(HI14C1277)의 지원으로 수행됐다.

[사진 왼쪽부터] 서울대병원 의생명연구원 김효수·이은주 교수, 서울대 문도담 박사
[사진 왼쪽부터] 서울대병원 의생명연구원 김효수·이은주 교수, 서울대 문도담 박사


홈페이지 오류신고

서울대학교병원 홈페이지의 불편한점이나 개선사항 등의 의견을 작성해 주시면 검토 후 반영하도록 하겠습니다.
진료과 및 의료진 추천이나 진료일정 및 상담 문의는 진료 예약센터로 전화해 주십시오. 예약센터 : 1588-5700

홈페이지 의견접수 입력
홈페이지 의견접수(작성자, 연락처, 이메일, 구분, 제목, 내용)
작성자
*연락처 - -
*이메일 @
구분
*제목
*내용

1. 수집 항목 : 작성자명, 연락처, 이메일 주소

2. 수집 및 이용 목적 : 의견 회신에 따른 연락처 정보 확인

3. 보유 및 이용 기간 : 상담 서비스를 위해 검토 완료 후 3개월 간 보관하며,
이후 해당 정보를 지체 없이 파기

만족도 통계

만족도 통계(페이지, 총응답자, 정보게시일)
페이지
총응답자
정보게시일

매우만족

만족

보통

불만족

매우 불만족

이메일주소 무단수집 거부

본 웹사이트에서는 이메일 주소가 무단 수집되는 것을 거부하며,
위반 시, 정보통신망법에 의해 처벌됨을 유념하시기 바랍니다.

뷰어 다운로드

뷰어는 파일 문서 보기만 지원하는 프로그램입니다.
뷰어로는 문서 내용을 수정하거나 삭제, 편집 할 수 없습니다.

서울대학교병원에서 사용하는 문서는 한글2002, 워드, 파워포인트, 엑셀, PDF(아크로뱃리더) 5가지 입니다.

사용하시는 컴퓨터에 해당 뷰어가 설치되어 있지 않은 경우 뷰어를 다운로드 받아 각 개인 컴퓨터에 설치하셔야 합니다.
뷰어는 사용하시는 컴퓨터에 한 번만 설치하시면 됩니다.

홈페이지 의견접수

서울대학교병원 홈페이지의

개선사항에 대한 의견을 보내주시면 검토하여보다
편리한 홈페이지
를 만들겠습니다.


※ 개별 답변을 드리는 창구가 아니오며,
병원에 대한 전반적인 문의는 전화'1588-5700' (예약문의: 1번, 기타: 2번)로,
불편이나 고충 관련고객의 소리로 접수 부탁드립니다.

홈페이지 의견접수 입력
홈페이지 의견접수(작성자, 구분, 제목, 내용)
작성자
구분
*제목
*내용

개인정보 수집/이용 목적

※ 개인정보 수집/이용 목적

1. 수집/이용 목적: 홈페이지 의견접수를 통한 개선사항 검토 및 반영
2. 수집하는 항목: 이름, 제목, 내용
3. 개인정보의 보유 및 이용기간 : 2년
4. 동의를 거부할 권리가 있으며, 전화예약상담(1588-5700)또는 고객상담실(02-2072-2002​)을 이용하실 수
   있습니다.

진료회원인증

최초 1회 진료회원 인증이 필요합니다.

서울대학교병원은 진료 예약 시 건강보험 가입여부 확인 및 진료회원 인증을 위해 주민등록번호 또는 환자번호(진찰권번호)를 수집하고 있습니다.

주민등록번호 수집 고지

개인정보 보호법 제15조 제1항 제2호에 따라, 정보주체의 동의 없이 개인정보를 수집·이용합니다.
- 수집 목적 : 건강보험 자격확인 및 진료회원인증
- 수집 근거 : 건강보험법 제12조, 의료법 제22조 및 동법 시행규칙 제14조
- 보유 기간 : 의료법 시행규칙 제15조에 따른 보존기간에 따름

이름
-
본인인증

전체 메뉴

전체 검색

전체 검색