서울대학교병원 배너
본문으로 바로가기

의학정보

뇌동맥류수술
[Cerebral aneurysm surgery]

한 줄 설명

뇌동맥류의 수술적 치료방법

관련
신체기관

뇌, 뇌혈관

정의

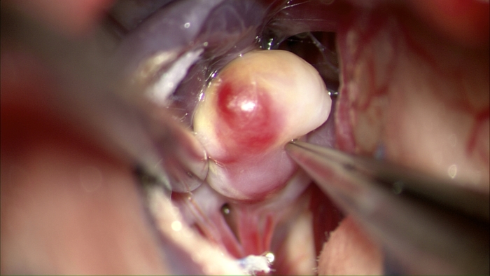
뇌동맥류(Cerebral aneurysm)를 치료하는 방법이다. 뇌동맥류는 뇌동맥의 일부가 풍선처럼 부푼 병변을 지칭하며 전체 유병률은 약 2-4% 정도로 알려져 있는 비교적 흔한 질병이다. 뇌동맥류는 치명적인 거미막하출혈(지주막하출혈, Subarachnoid hemorrhage)의 주요 원인이며, 대부분의 뇌동맥류는 평소 아무런 증상을 유발시키지 않다가 갑자기 파열되기 때문에 주의를 요한다. 뇌동맥류는 현재까지 효과적인 약물요법이 없어 필요한 경우 수술적으로 치료를 해야 한다. 동맥류 치료에서 가장 중요한 원칙은 동맥류를 소멸(Obliteration)시켜 파열되지 않게 함과 동시에 정상 혈류를 보존하여 뇌조직이 손상되지 않도록 하는 것이다. 뇌동맥류의 수술 방법은 크게 개두술을 통한 수술적 결찰술(Surgical clipping)과 혈관내 접근을 통한 색전술(Endovascular coiling 또는 coil embolization)로 나뉜다. 뇌동맥류 수술은 좁은 의미에서는 개두술적 결찰술을 지칭하지만, 넓은 의미에서는 혈관내 접근법까지 포함하여 지칭한다. 이 글에서는 주로 개두술적 결찰술에 대해 기술한다. 수술적 결찰술은 동맥류 경부 결찰술(Aneurysm neck clipping) 또는 동맥류 결찰술 등으로도 표기되며, 1937년 최초 시행된 이후 현재까지 기구와 술기가 꾸준히 발전하여 왔다. 특히 광학기술과 재료공학의 발달로 과거에 비하여 수술의 성적이 향상되었다. 수술적 결찰술의 장점은 색전술에 비하여 내구성이 우수하여 수술 후 재발이 적고 추적검사의 필요 빈도가 낮아 젊은 연령에서 유리하다는 점, 수술 후 약물 치료가 필요 없다는 점 등을 들 수 있다. (그림) 수술현미경시야에서 노출된 중대뇌동맥 분지부에 발생한 동맥류: 동맥류 벽이 염증성 반응으로 인하여 노란색으로 변성이 되었다. 주변 혈관을 확보하고 미세 분지를 확인한 뒤 동맥류 결찰을 시행한 뒤의 모습이다.

노출된 뇌동맥류

노출된 뇌동맥류

결찰

결찰

추가결찰

추가결찰

준비사항

삼차원 뇌혈관 CT 또는 뇌혈관조영술을 시행하여 동맥류의 성상을 정확하게 분석하고, 주변 혈관 구조물과의 관계를 파악하는 것이 매우 중요하다. 대부분의 경우 전신마취를 시행하므로 세심한 마취전 평가를 통해 심폐기능을 평가하고 기저질환이 있는 경우 해당 진료과와 협진을 통해 예기치 못한 상황에 대비한다. 상황에 따라 수술 전 중심정맥관을 삽입하여 수액과 혈액 공급 수단을 확보해 놓는다. 필요에 따라 수술 중 감시장치, 내시경 장비, 네비게이션 장치를 준비한다.

시술방법

결찰술의 경우 대부분 전신마취 하에 수술이 진행된다. 피부절개는 수술의 흉터가 남지 않도록 주로 모발로 가려지는 부위에 시행하게 된다. 절개 후 피부판을 젖힌 뒤 두개골 절개술을 시행하는데, 동맥류의 위치와 크기에 따라 다양한 두개골 절개술 방법이 존재한다. 두개골 절개 후에 뇌막을 젖히면 뇌가 노출된다. 이후에는 대부분 수술 현미경 시야에서 수술이 진행된다. 대부분의 동맥류는 뇌의 주요 고랑 사이에 위치하여, 미세한 수술 기구로 뇌 거미막을 절개하면 뇌조직이 다치지 않게 동맥류를 향해 접근할 수 있다. 동맥류가 노출되면 동맥류의 전후 그리고 주변의 정상혈관을 확보한 뒤 결찰을 시도한다. 동맥류가 크거나 약한 부위가 있어 결찰 시 파열이 될 위험이 큰 경우 근위부나 원위부의 동맥을 일시 결찰하여 동맥류의 압력을 감소 시킨 뒤 결찰한다. 최근에 사용되는 동맥류 결찰을 위한 클립은 티타늄 합금으로 이루어져 있어 강도가 강하고 자성이 적어 MR 검사에 안전하다. 동맥류의 모양에 맞도록 여러 모양의 클립이 시판되고 있어, 단일 클립을 사용하여 수술이 끝나기도 하지만, 경우에 따라서 여러 클립을 조합하여 결찰하기도 한다. 약 20%의 동맥류 환자는 다발성 동맥류를 가지고 있는데, 상황에 따라 여러 개의 동맥류를 동시에 결찰하는 것도 가능하다. 동맥류 포장술(Wrapping)은 동맥류가 너무 작아서 결찰술이 불가능하거나 위험해 보이는 경우 또는 클립 결찰 후 일부분의 남는 경우 등 유용하게 이용된다. 동맥류가 너무 크거나 혈관 자체가 동맥류화된 경우, 혈전이 들어차 있는 경우 등에서는 표준적인 결찰술 만으로 동맥류를 치료할 수 없는 경우 혈관문합술(Bypass surgery)을 이용한 혈류재형성법(Revascularization)을 이용하여 치료할 수 있는데, 이 경우 높은 난이도가 요구된다. 최근에는 최소침습 수술법이 발전하여 현재 많이 시행되고 있다. 이전 표준적인 결찰술 보다 피부절개와 두개골 절개를 최소화하여 수술 시간도 적어지고 미용적으로도 유리하며, 수술 후 회복도 빠른 장점이 있다. 단, 시야가 좁고 돌발상황에 비교적 취약할 수 있으므로 수술자의 숙련도가 요구된다.

소요시간

뇌동맥류 수술에 소요되는 시간은 동맥류의 개수, 접근 방법, 동맥류의 위치, 동맥류의 크기, 동맥류의 파열 여부, 주변 혈관과의 관계, 해부학적 변이, 수술자의 숙련도 등 많은 변수에 의해 좌우된다. 통상적인 결찰술의 경우 3-6시간이 소요되는데, 비교적 얕은 위치에 존재하고 크기가 작은 경우 2시간이 채 걸리지 않는 반면, 깊은 부위에 위치하거나 크기가 큰 복잡 동맥류의 경우 12시간이 넘게 소요되기도 한다. 최근에는 최소침습 두개골 절개술을 통해 수술이 이루어지는 경우가 있는데, 이 경우 소요시간은 더욱 단축될 수 있다.

주의사항

동맥류가 발견된 경우 치료 여부를 결정하는 것이 가장 중요하다. 동맥류가 이미 파열되어 거미막하출혈이 발생한 경우, 치명적인 재출혈을 예방하기 위해 조속하게 동맥류를 치료해야 한다. 간혹 미세한 파열로 인해 두통이 발생하는 경우가 있는데, 이후에 본격적인 출혈이 발생할 수 있기 때문에 갑자기 유래 없는 두통이 발생한 경우 정밀검사를 시행하는 것이 중요하다. 파열되지 않더라도 뇌신경 또는 뇌조직 압박에 의해 증상이 발생한 경우에도 빠른 시일 내에 치료가 필요하다. 증상이 없이 발견된 경우에는 환자의 연령과 기대여명, 동맥류의 크기와 성상, 예상되는 치료의 위험도를 감안하여 득실을 따져 치료 여부를 결정하게 된다. 치료가 필요하다고 판단된 경우 치료 방법을 선택하는 것이 중요하다. 수술적 결찰술과 코일 색전술은 각각의 특징과 장단점이 있으므로 양 치료 방법이 가능한 시설에서 뇌혈관수술 전문가를 통해 결정하는 것이 유리할 수 있다.

경과/합병증

결찰술을 시행한 뒤 입원 기간은 동맥류의 파열 여부와 수술의 범위, 합병증 발생 여부 등에 결정된다. 동맥류가 파열된 경우 급사의 확률은 약 20 % 정도로 보고 되고 있으며, 동맥류가 성공적으로 폐쇄되더라도 뇌거미막하 출혈 자체의 후유증과 합병증으로 사망하거나 생존하더라도 영구적으로 후유장애가 남을 가능성이 크고 입원기간도 상당히 길어질 수 있다. 통상적인 크기의 비파열성 동맥류에 대해 결찰술을 시행하는 경우 입원 기간은 3-7일 정도이나, 수술의 방법, 의료기관의 치료 방침에 따라 다르다. 또한 퇴원 후에도 1-2주간의 안정가료를 하는 것이 권장된다. 수술 후에는 보통 약물 치료가 필요하지 않고 재발이 매우 드물어 통원치료는 자주 시행하지 않는다. 하지만 드물게 결찰된 동맥류 주변으로 동맥류가 새로 자라거나 다른 부위에 새롭게 발생하는 경우도 있어서 2-3년 간격으로 혈관 촬영이 권장된다.

부작용/후유증

개두술 자체에 의한 합병증은 감염 및 수술 후 경막위/아래 혈종 등의 합병증이 발생 가능하나, 과거에 비하여 상당히 개선되었다. 개두술 후 근위축, 골손실로 인한 두상이 변형되는 문제가 있으나, 최근에는 절개부위가 최소화되고 성형재료를 사용하는 등 미용적인 측면에 대해서도 노력을 기울이고 있다. 동맥류 결찰에 관련된 위험 중 뇌경색은 모혈관의 협착 또는 분지혈관의 폐쇄에 의해 발생할 수 있으며, 영구적인 신경학적 장애를 유발할 수 있다. 이를 극복하기 위해 최근에는 유발전위(Evoked potential) 검사를 수술 중 시행하여 전신마취 중 운동 및 감각 기능의 변동 여부를 모니터링 하는 경우가 많다. 또한 수술 중 초음파로 혈류를 확인하고, 인도시아닌 형광 혈관조영술을 시행하여 혈류의 변화를 감지하고 동맥류로 들어가는 혈류가 차단된 것을 확인하는 과정을 거친다. 결찰 중 모동맥의 손상되는 경우도 발생할 수 있는데, 혈관 성형술이나 혈관 문합술을 시도할 수 있다. (그림) 인도시아닌 형광 혈관조영술: 동맥류 결찰 후에 시행하여 동맥류의 결찰 여부를 확인하고 혈류를 변화 여부를 확인한다.

인도시아닌 형광 혈관 조영술

인도시아닌 형광 혈관 조영술

치료질병

뇌동맥류는 형태와 병태생리 적으로 여러 형태로 분류되나 진성 낭성 동맥류(True saccular aneurysm)가 절대적 다수를 차지하며, 대부분의 경우 결찰술로 치료될 수 있다. 방추형 동맥류(Fusiform aneurysm) 및 박리성 동맥류(Dissecting aneurysm)은 단순한 결찰술로 치료될 수 없는 경우가 많아 동맥류 성형술, 혈관문합술을 통한 재관류술 등의 변형된 수술을 시행하여 치료할 수 있다. 드물게 발생하는 가성동맥류, 감염성 동맥류와 외상성 동맥류도 결찰술의 대상질환이다.

생활가이드

해당 없음.

관련치료법

코일색전술은 동맥류 코일 색전술(Aneurysm coiling, Coil embolization) 또는 동맥류 중재시술(Aneurysm intervention)라도 불리며, 1989년 최초로 인간을 대상으로 코일색전술이 발표된 이후 재료공학의 발달에 힘입어 빠르게 발전하고 있는 수술법이다. 코일, 스텐트, 미세도관의 재질이 꾸준히 개선되고 있어 적용 가능한 대상질환이 확대되고 있다.

이메일주소 무단수집 거부

본 웹사이트에서는 이메일 주소가 무단 수집되는 것을 거부하며,
위반 시, 정보통신망법에 의해 처벌됨을 유념하시기 바랍니다.

뷰어 다운로드

뷰어는 파일 문서 보기만 지원하는 프로그램입니다.
뷰어로는 문서 내용을 수정하거나 삭제, 편집 할 수 없습니다.

서울대학교병원에서 사용하는 문서는 한글2002, 워드, 파워포인트, 엑셀, PDF(아크로뱃리더) 5가지 입니다.

사용하시는 컴퓨터에 해당 뷰어가 설치되어 있지 않은 경우 뷰어를 다운로드 받아 각 개인 컴퓨터에 설치하셔야 합니다.
뷰어는 사용하시는 컴퓨터에 한 번만 설치하시면 됩니다.

홈페이지 의견접수

서울대학교병원 홈페이지의

개선사항에 대한 의견을 보내주시면 검토하여보다
편리한 홈페이지
를 만들겠습니다.


※ 개별 답변을 드리는 창구가 아니오며,
병원에 대한 전반적인 문의는 전화'1588-5700' (예약문의: 1번, 기타: 2번)로,
불편이나 고충 관련고객의 소리로 접수 부탁드립니다.

홈페이지 의견접수 입력
홈페이지 의견접수(작성자, 구분, 제목, 내용)
작성자
구분
*제목
*내용

개인정보 수집/이용 목적

※ 개인정보 수집/이용 목적

1. 수집/이용 목적: 홈페이지 의견접수를 통한 개선사항 검토 및 반영
2. 수집하는 항목: 이름, 제목, 내용
3. 개인정보의 보유 및 이용기간 : 2년
4. 동의를 거부할 권리가 있으며, 전화예약상담(1588-5700)또는 고객상담실(02-2072-2002​)을 이용하실 수
   있습니다.

진료회원인증

최초 1회 진료회원 인증이 필요합니다.

서울대학교병원은 진료 예약 시 건강보험 가입여부 확인 및 진료회원 인증을 위해 주민등록번호 또는 환자번호(진찰권번호)를 수집하고 있습니다.

주민등록번호 수집 고지

개인정보 보호법 제15조 제1항 제2호에 따라, 정보주체의 동의 없이 개인정보를 수집·이용합니다.
- 수집 목적 : 건강보험 자격확인 및 진료회원인증
- 수집 근거 : 건강보험법 제12조, 의료법 제22조 및 동법 시행규칙 제14조
- 보유 기간 : 의료법 시행규칙 제15조에 따른 보존기간에 따름

이름
-
본인인증

전체 메뉴

전체 검색

전체 검색