서울대학교병원 배너
본문으로 바로가기

의학정보

자궁근종 색전술
[embolization of uterine myoma]

한 줄 설명

자궁근종에 대해 양측 자궁동맥을 선택적으로 막아 허혈을 유도하여 근종의 크기를 줄이는 시술

진료과 ?해당 과를 클릭 하면진료과로 바로 연결됩니다.

산부인과 ,   영상의학과

정의

자궁동맥 색전술은 출산 후 자궁무력증에 의한 과다 출혈을 막는 치료법으로 이미 오래전부터 시행되어 왔으나, 1990년대 중반부터는 자궁근종의 새로운 치료법으로 각광받고 있다. 이미 미국에서는 1년에 약 10,000명 정도의 여성이 자궁근종의 치료를 위해 자궁동맥 색전술을 시행 받고 있으며, 미국 국무장관이었던 콘돌리자 라이스도 임기 중 자궁근종 색전술을 받은 것으로 유명하다. 시술은 중재(인터벤션) 영상의학과 전문의가 첨단 영상장비를 이용하여 시술하게 되며 서혜부(사타구니)를 국소 마취시킨 후 2~3mm 크기의 튜브를 대퇴동맥에 삽입한다. 이후 대퇴동맥을 통해 직경 1mm정도의 가는 관으로 자궁동맥까지 접근하여 아주 작은 특수입자(PVA particle)를 주입하게 되는데, 이때 선택적으로 자궁근종으로 가는 혈관만을 막게 된다. 자궁근종을 산소와 영양분을 공급하는 혈관이 이 특수입자(PVA particle)로 막히게 되면 근종의 허혈이 발생하고 서서히 근종의 크기가 작아져 퇴화하게 된다. 기존의 개복 수술과 달리 전신 마취가 필요 없고 출혈의 가능성이 적어서, 이에 따른 합병증의 발생도 극히 드물다. 입원 기간과 회복 기간이 짧아서 일상생활로의 복귀가 빠르다는 것은 물론 자궁을 보존함으로써 여성으로서의 상실감을 줄이고 향후 임신 가능성을 높일 수 있게 된다. 또한 수술 후 남는 흉터의 크기도 작아서 미용적으로도 일반적인 수술에 비해 장점을 가지고 있다. 또한 수술로 제거가 어려운 다발성 근종의 경우에도 치료가 가능하다.

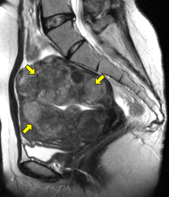
MRI 영상: 자궁 내에 여러 개의 커다란 자궁근종들이 보임

MRI 영상: 자궁 내에 여러 개의 커다란 자궁근종들이 보임

준비사항

최근 1년 이내에 자궁암 검사를 시행하여 악성 종양의 가능성을 배제하여야 하며 자궁근종 및 자궁의 상태를 평가하기 위해 초음파와 자기공명영상이 필요하다. 또한 폐경 등의 가능성을 고려해 호르몬 검사 등도 필요하다. 또한 시술 전 6시간 동안의 금식은 기본이다.

시술방법

시술은 중재 영상의학과 전문의가 첨단 영상 장비를 이용하여 시술한다. 서혜부(사타구니)를 국소 마취 시킨 후 직경 2~3mm 크기의 튜브를 대퇴동맥에 삽입하고, 이를 통해서 직경 1mm의 가는 관으로 자궁동맥까지 접근한다. 이후 자궁근종으로 향하는 혈관을 선택한 후 특수입자(PVA particle)를 주입하여 혈관을 막게 된다(색전). 이후 자궁근종은 혈액 공급 차단으로 인해 3개월에서 12개월에 걸쳐서 허혈이 일어나 퇴화하게 된다. 더 이상 산소와 영양분을 공급받지 못하게 되기 때문이다.

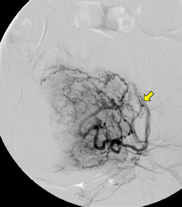
자궁근종 색전술 투시 영상: 시술 중 시행한 좌측 자궁동맥(화살표) 조영술 사진

자궁근종 색전술 투시 영상: 시술 중 시행한 좌측 자궁동맥(화살표) 조영술 사진

소요시간

대략 1시간 이내가 소요된다.

주의사항

대퇴부 천자 부위에 대해 감염이 발생하지 않도록 한다. 시술 후 생리통과 비슷한 심한 골반 내 통증이 있으나 24시간 이내에 가라앉게 된다. 심한 통증이 발생하게 되면 진통제로 조절하게 되지만 필요한 경우 입원 기간을 늘려 관찰할 수 있다.

경과/합병증

시술 후 1개월까지는 외래에서 한두 차례 부작용 발생 여부를 살피고, 3~6개월 후에 자기공명영상(MRI)을 촬영하여 시술 전 자기공명영상(MRI)과 비교하여 근종과 자궁의 부피 감소 및 괴사 여부를 살피게 된다.

부작용/후유증

시술 직후 골반통 및 구역, 미열 등이 나타날 수 있으며, 시술 시 필요에 따라 난소동맥을 색전시킬 수 있는데 이로 인해 폐경이 될 수도 있다. 드물지만 색전 후 괴사 및 감염 등으로 자궁 적출술을 시행한 사례도 있다. 가임기 여성의 경우 자궁근종 색전술이 이후 임신에 도움이 된다는 논문도 있으나 자궁근종 절제술이 임신에 더 도움이 된다는 주장도 있다. 따라서 가임기 여성의 경우 근종의 치료는 전문의와 상의하여 색전술 또는 수술적 치료를 선택하도록 한다.

치료질병

자궁근종, 자궁샘근육증

관련치료법

자궁근종 제거술, 자궁 적출술

이메일주소 무단수집 거부

본 웹사이트에서는 이메일 주소가 무단 수집되는 것을 거부하며,
위반 시, 정보통신망법에 의해 처벌됨을 유념하시기 바랍니다.

뷰어 다운로드

뷰어는 파일 문서 보기만 지원하는 프로그램입니다.
뷰어로는 문서 내용을 수정하거나 삭제, 편집 할 수 없습니다.

서울대학교병원에서 사용하는 문서는 한글2002, 워드, 파워포인트, 엑셀, PDF(아크로뱃리더) 5가지 입니다.

사용하시는 컴퓨터에 해당 뷰어가 설치되어 있지 않은 경우 뷰어를 다운로드 받아 각 개인 컴퓨터에 설치하셔야 합니다.
뷰어는 사용하시는 컴퓨터에 한 번만 설치하시면 됩니다.

홈페이지 의견접수

서울대학교병원 홈페이지의

개선사항에 대한 의견을 보내주시면 검토하여보다
편리한 홈페이지
를 만들겠습니다.


※ 개별 답변을 드리는 창구가 아니오며,
병원에 대한 전반적인 문의는 전화'1588-5700' (예약문의: 1번, 기타: 2번)로,
불편이나 고충 관련고객의 소리로 접수 부탁드립니다.

홈페이지 의견접수 입력
홈페이지 의견접수(작성자, 구분, 제목, 내용)
작성자
구분
*제목
*내용

개인정보 수집/이용 목적

※ 개인정보 수집/이용 목적

1. 수집/이용 목적: 홈페이지 의견접수를 통한 개선사항 검토 및 반영
2. 수집하는 항목: 이름, 제목, 내용
3. 개인정보의 보유 및 이용기간 : 2년
4. 동의를 거부할 권리가 있으며, 전화예약상담(1588-5700)또는 고객상담실(02-2072-2002​)을 이용하실 수
   있습니다.

진료회원인증

최초 1회 진료회원 인증이 필요합니다.

서울대학교병원은 진료 예약 시 건강보험 가입여부 확인 및 진료회원 인증을 위해 주민등록번호 또는 환자번호(진찰권번호)를 수집하고 있습니다.

주민등록번호 수집 고지

개인정보 보호법 제15조 제1항 제2호에 따라, 정보주체의 동의 없이 개인정보를 수집·이용합니다.
- 수집 목적 : 건강보험 자격확인 및 진료회원인증
- 수집 근거 : 건강보험법 제12조, 의료법 제22조 및 동법 시행규칙 제14조
- 보유 기간 : 의료법 시행규칙 제15조에 따른 보존기간에 따름

이름
-
본인인증

전체 메뉴

전체 검색

전체 검색