서울대학교병원 배너
본문으로 바로가기

의학정보

발가락골절
[Toe fracture]

한 줄 설명

발가락에 발생한 골절

관련
신체기관

발가락

관련 질병

 

정의

족무지의 경우 근위지골과 원위지골 2개로 이루어져 있으며, 소족지의 경우 근위지골, 중위지골, 원위지골 3개의 뼈로 이루어져 있는데, 근위지골의 골절이 중위지골, 원위지골의 골절보다 흔하다. 보행 시 힘을 족무지에 주게 되기 때문에 임상적으로 족무지 골절이 소족지 골절보다 더 중요하다.

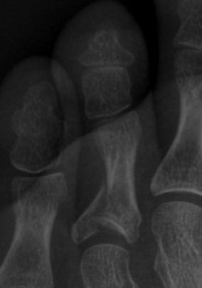
그림 1. 제 4 발가락 근위지골의 관절을 침범한 골절

그림 1. 제 4 발가락 근위지골의 관절을 침범한 골절

원인

전족부에서 가장 흔한 골절이다. 대부분 직접 손상에 의해 발생하며, 특히 족무지의 경우 무거운 물건이 떨어져서 생기는 경우가 많다. 족무지를 제외한 소족지 골절은 대개 발로 탁자 다리나 문틀을 차면서 바깥쪽으로 꺾여 발생한다.

증상

발가락 골절은 상대적으로 증상이 경한 경우가 많아 단순 염좌로 여기고 놓치기 쉽다. 전형적인 증상으로 해당 부위 족지의 부종과 멍, 피하 출혈, 통증이 있다. 골절의 경우 수 일이 지나도 증상의 호전이 크지 않은 경우가 많고, 신발을 신을 때 불편감을 느끼거나 걸을 때, 힘을 줄 때 동통을 느낀다. 심하게 부딪친 경우 피부와 발톱 밑으로 피가 고이는 조갑하 혈종이 발생하면 통증이 심해지는 경우가 있다. 피부가 찢어지거나 발톱이 들리는 경우 개방성 골절로 이어지기도 한다.

그림 2. 발가락 골절을 의심할 수 있는 부종과 멍 혹은 변형

그림 2. 발가락 골절을 의심할 수 있는 부종과 멍 혹은 변형

그림 2. 발가락 골절을 의심할 수 있는 부종과 멍 혹은 변형

그림 2. 발가락 골절을 의심할 수 있는 부종과 멍 혹은 변형

진단/검사

- 진단 단순 방사선 영상 검사를 통해 골절을 진단한다. 불완전 골절 등 정도가 심하지 않은 경우 초기 검사에서 발견되지 않을 수 있으므로 1~2주뒤 반복 촬영해서 확인해보는 것이 좋다. 신체검진에서도 해당부위의 뚜렷한 압통이 지속된다면 골절을 의심하게 된다. - 검사 신체검진이나 단순 방사선 영상 검사 외에 추가적인 검사가 반드시 필요한 경우는 흔치 않다. 그러나 드물게 증상이 전형적인 족지 골절의 양상이 아니거나 적절한 치료에도 증상 호전이 없는 경우, 다른 질환과의 감별 진단을 위하여 정밀 검사(CT, MRI) 등을 시행하는 경우도 있다.

치료

(1) 보존적 치료 전위가 별로 없는 단순 골절의 경우에는 고정해주는 방법만으로도 치료를 해볼 수 있다. 사실 소족지의 경우에는 겉으로 봐서 발가락의 위치가 어긋나지 않았으면 어느 정도의 전위가 있어도 크게 문제가 되지는 않는다. 가장 간단한 고정의 형태는 인접 발가락을 부목으로 삼아 테이핑(Buddy taping)하되 발가락 사이에는 거즈 등을 끼워주는 것이다. 이외에도 바닥이 딱딱해서 구부러지지 않는 신발(Postop shoe 등)을 신고 걷는 것을 허용하거나 발허리뼈바(Metatarsal bar), 설압자, 알루미늄 부목 등을 덧대주기도 한다. (2) 수술적 치료 전위가 심한 골절, 특히 관절을 침범한 골절은 도수 정복이 만족스럽지 않을 경우 수술적 치료를 하게 된다. 수술은 관혈적 혹은 비관혈적 정복 및 핀 고정을 시행한다.

그림 3. 버디 테이핑, 수술 후 신발

그림 3. 버디 테이핑, 수술 후 신발

그림 3. 버디 테이핑, 수술 후 신발

그림 3. 버디 테이핑, 수술 후 신발

경과/합병증

일반적으로 심한 후유증을 남기지 않고 잘 치유되는 편이다. 골편이 작은 경우 뼈로 붙는 골유합이 잘 안 되는 경우가 있지만, 그런 경우에도 대개는 연부조직끼리 질기게 붙는 섬유성 유합이 되기 때문에 통증을 계속 일으키는 경우는 드물다. 물론 전위가 어느 정도 이상으로 발생한 상태에서 붙은 경우 발가락 변형이 남아 옆 발가락을 밀거나, 발바닥 쪽으로 튀어나와 자극이 되어 궤양이 생길 수는 있다. 교통 사고 등 심하게 부딪친 압궤 손상의 경우에는 혈액 순환이 원활치 않아 치료 여부와 상관없이 점진적으로 발가락의 괴사까지 진행하는 경우도 있어 주의해야 한다.

예방방법

발가락 골절의 가장 흔한 기전인 아령 등의 무거운 물건을 떨어뜨리거나, 어두운 곳에서 문 혹은 테이블 다리 등을 차지 않도록 주의한다.

식이요법/생활가이드

- 생활 가이드 발가락을 수상하여 통증이 있는 경우에는 며칠간 발에 무리가 가지 않도록 하며, 임시로 버디테이핑을 적용해 줄 수 있다. 1~2주 이상 증상이 지속된다면 병원에서 진단을 받아보는 것이 좋다. - 식이요법 음식 섭취가 발가락 골절과 연관된 것은 알려진 바 없다. 다만 발의 골절은 골다공증과 연관이 있다는 보고가 있으므로 적절한 영양 섭취를 통해 골밀도를 유지하는 것이 좋다.

관련질병

발가락 골절 탈구, 발가락 골절 부정유합, 불유합, 발가락 변형 (후유증)

이메일주소 무단수집 거부

본 웹사이트에서는 이메일 주소가 무단 수집되는 것을 거부하며,
위반 시, 정보통신망법에 의해 처벌됨을 유념하시기 바랍니다.

뷰어 다운로드

뷰어는 파일 문서 보기만 지원하는 프로그램입니다.
뷰어로는 문서 내용을 수정하거나 삭제, 편집 할 수 없습니다.

서울대학교병원에서 사용하는 문서는 한글2002, 워드, 파워포인트, 엑셀, PDF(아크로뱃리더) 5가지 입니다.

사용하시는 컴퓨터에 해당 뷰어가 설치되어 있지 않은 경우 뷰어를 다운로드 받아 각 개인 컴퓨터에 설치하셔야 합니다.
뷰어는 사용하시는 컴퓨터에 한 번만 설치하시면 됩니다.

홈페이지 의견접수

서울대학교병원 홈페이지의

개선사항에 대한 의견을 보내주시면 검토하여보다
편리한 홈페이지
를 만들겠습니다.


※ 개별 답변을 드리는 창구가 아니오며,
병원에 대한 전반적인 문의는 전화'1588-5700' (예약문의: 1번, 기타: 2번)로,
불편이나 고충 관련고객의 소리로 접수 부탁드립니다.

홈페이지 의견접수 입력
홈페이지 의견접수(작성자, 구분, 제목, 내용)
작성자
구분
*제목
*내용

개인정보 수집/이용 목적

※ 개인정보 수집/이용 목적

1. 수집/이용 목적: 홈페이지 의견접수를 통한 개선사항 검토 및 반영
2. 수집하는 항목: 이름, 제목, 내용
3. 개인정보의 보유 및 이용기간 : 2년
4. 동의를 거부할 권리가 있으며, 전화예약상담(1588-5700)또는 고객상담실(02-2072-2002​)을 이용하실 수
   있습니다.

진료회원인증

최초 1회 진료회원 인증이 필요합니다.

서울대학교병원은 진료 예약 시 건강보험 가입여부 확인 및 진료회원 인증을 위해 주민등록번호 또는 환자번호(진찰권번호)를 수집하고 있습니다.

주민등록번호 수집 고지

개인정보 보호법 제15조 제1항 제2호에 따라, 정보주체의 동의 없이 개인정보를 수집·이용합니다.
- 수집 목적 : 건강보험 자격확인 및 진료회원인증
- 수집 근거 : 건강보험법 제12조, 의료법 제22조 및 동법 시행규칙 제14조
- 보유 기간 : 의료법 시행규칙 제15조에 따른 보존기간에 따름

이름
-
본인인증

전체 메뉴

전체 검색

전체 검색