서울대학교병원 배너
본문으로 바로가기

의학정보

원추각막
[keratoconus]

한 줄 설명

비염증성으로 각막이 얇아져 원추체 모양으로 돌출되는 안질환

진료과 ?해당 과를 클릭 하면진료과로 바로 연결됩니다.

안과

관련
신체기관

관련 질병

아토피, 다운증후군, 불완전골생성증, 엔로스 단로스 증후군, 선천성 고관절 이형성증, 헐거운눈꺼풀 증후군, 눈치아형성장애, 리이거 증후군, 소진피형성저하증, 손발톱무릎뼈 증후군, 아페르트 증후군, 머리얼굴뼈발생이상, 크루존 증후군, 터너 증후군, 마르팡 증후군

정의

비염증성 원인에 의해 각막의 변형이 발생되어 각막이 비정상적으로 얇아지면서 돌출되어 그로 인해 부정난시가 발생하는 진행성 질환이다. 두께가 감소한 부위의 각막은 돌출되며 마치 종 모양과 유사하여 원추각막이라고 한다. 원추의 정점은 시축의 바로 아래에 주로 위치한다.

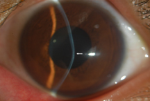
원추각막

원추각막

원추각막 모식도

원추각막 모식도

원인

원추각막의 병인은 여러 가지 가설이 있으나 아직 확실히 알려지지 않았다. 1) 유전적 요인: 원추각막의 유전성 여부는 명확하게 확립되지 않았으며 원추각막의 유전빈도는 6~8% 정도로 알려져 있다. 2) 전신 질환과의 관련성: 원추각막은 아토피 질환과의 연관성이 가장 많은 것으로 알려졌다. 아토피 질환 과거력이 정상 환자에서는 12%인데 반해 원추각막에서는 35%에서 발견되었다. 다운증후군 혹은 다른 정신지체 질환에서 원추각막의 빈도가 증가하는데, 이는 유전자 이상에 의한 구조적 혹은 생화학적 변화 때문일 수도 있고, 습관적인 눈비빔 때문일 수도 있다. 불완전골생성증(osteogenesis imperfect), 엔로스 단로스 증후군(Ehlers-Danlos Syndrome) 등과 같은 비염증성 아교질 질환에서 원추각막이 많이 나타나는 것으로 알려져 있다. 그 밖에도 선천성 고관절 이형성증, 헐거운눈꺼풀 증후군(floppy eyelid syndrome), 눈치아형성장애, 리이거 증후군, 소진피형성저하증(focal dermal hypoplasia), 손발톱무릎뼈 증후군, 아페르트 증후군, 머리얼굴뼈발생이상(craniofacial dysostosis), 크루존 증후군등의 질환과 원추각막의 연관성이 알려져 있다. 터너 증후군 및 마르팡 증후군에서도 보고되고 있다. 3) 눈비빔: 계속적인 눈비빔은 각막에 작은 충격을 가하므로 각막의 구조적인 손상을 주어 원추형 각막을 만들 것으로 생각된다. 4) 콘택트렌즈 착용: 콘택트렌즈 착용은 일종의 지속적인 각막 외상으로 정상 각막에서도 변형을 일으키며, 특히 원추각막처럼 각막 자체가 얇아진 경우에는 더 많은 변화가 있을 것으로 생각된다.

증상

청소년기에 시작되며 주로 비대칭적으로 양측성으로 발생한다. 30~40대까지 서서히 진행하며 간혹 급속히 진행하는 경우도 있다. 초기에는 증상이 없고 시력도 정상일 수 있다. 그러나 대비감 감소가 시력 저하보다 먼저 나타나며, 시력저하는 근거리와 원거리 모두에서 발생한다. 병이 진행되면서 각막이 얇아지고 돌출되기 시작되어 부정난시를 유발해 시력의 저하, 왜곡, 눈부심, 번짐, 단안복시, 눈의 자극감을 호소하게 된다. 원추각막이 진행되어 급성 원추각막 혹은 각막수종이 발생되면 급격한 시력 저하가 발생되며 각막수종은 수주에서 수개월 지속되고 대개 서서히 줄어들어 흉터로 대체되어 영구적인 시력 저하를 유발하게 된다.

원추각막의 비정상적인 빛의 굴절

원추각막의 비정상적인 빛의 굴절

진단/검사

각막의 형태를 알 수 있는 검사를 통해 진단할 수 있다. 세극등을 통해 특징적인 소견(보크트 선, 플라이셔 고리, 각막돌출, 각막수종)을 보이는 경우 진단이 가능하다. 각막 형태에 따른 굴절값을 나타내는 각막 만곡도에서 부정난시(비정상적인 난시)는 원추각막의 지표가 된다. 따라서 컴퓨터를 이용한 각막지형도 검사를 이용해서 각막만곡치가 비정상적으로 높거나 부정 고도난시를 보이는 경우 진단하게 된다. 여러 위치에서 각막의 두께를 측정하는 것도 진단하는 데 도움이 된다. 각막 중심이 비정상적으로 얇거나 하측 각막에서 연속적으로 측정했을 때 각막 중심 두께에 비해 5% 이상 감소하면 원추각막을 의심하게 되고 정기검사에서 계속적으로 얇아지는 경우에 진단이 가능하다. 1) 세극등 검사: 안과에서 기본적으로 하는 검사로 각막을 현미경과 같이 확대해서 형태와 소견을 관찰한다. 2) 검영법 검사: 자가 검안경을 통해 눈의 굴절값을 알 수 있는데 이때 보통 한 개의 빛 띠가 관찰되나 부정난시로 인해 두 개의 반사가 교차되는 가위반사를 보인다. 3) 각막지형도 검사: 세극등 검사와 유사하게 머리를 고정하고 가운데를 응시하면 자동으로 수 초 이내에 검사가 이뤄진다. 4) 후도계(pachometer): 각막의 두께를 측정한다.

치료

원추각막의 치료는 일단 안경 교정으로 시작되며 시력 개선이 되지 않을 경우 콘택트렌즈를 착용한다. 진행된 원추각막에서는 콘택트렌즈를 착용할지 또는 수술을 할 것인지를 결정해야 하는데, 콘택트렌즈로 시력을 개선할 수 없는 경우나 콘택트렌즈를 착용하기 어려울 경우 수술적 치료를 고려해야 한다. 진행된 부정난시를 교정하기 위해 각막실질 내에 반원 형태의 고리를 삽입하는 링삽입술과 원추각막의 진행을 막기 위해 각막콜라겐 교차결합술을 시행해볼 수 있다. 링삽입술은 각막링을 통해 각막의 부정난시를 줄여 시력을 개선시키는 방법으로 각막수종 및 각막혼탁의 합병증이 발생하기 전에 시도해 볼 수 있다. 각막콜라겐 교차결합술은 원추각막 환자의 각막이 정상적인 각막보다 결합력이 떨어져 안구의 돌출이 발생하므로 각막의 결합력을 증가시켜 원추각막의 진행을 멈추게 하는 시술 방법이다. 리보플라빈(riboflavin, 비타민B2)을 각막에 스며들게 한 뒤 자외선을 쬐어서 리보플라빈을 활성화시킴으로써 각막실질의 콜라겐의 결합력을 증가시킨다. 원추각막이 심하게 진행된 경우 링삽입술이나 각막교차결합술은 불가하며 비정상적인 각막을 정상적인 각막으로 바꾸어 주는 각막 이식을 시행할 수 있다. 각막 이식을 통해 시력을 개선하는 것이 목적이나 수술 후 각막난시가 발생하게 되어 콘택트렌즈의 착용이 필요할 수 있다.

각막 이식 후

각막 이식 후

경과/합병증

주로 청소년기에 발병하여 양측성으로, 비대칭적으로 나타나는 경우가 많다. 청소년기에 시작하여 40대까지 서서히 진행하며 이후에는 진행하지 않거나 서서히 진행하는 것으로 알려져 있다. 각막의 두께의 변화와 아울러 각막의 만곡도가 증가하면서 부정 난시로 인해 시력이 점차 떨어진다. 안경의 도수의 변화가 심하며 점차 안경으로 시력이 교정되지 않을 수 있다. 각막의 데스메막(Descemet’s membrane)이라는 안쪽 각막의 층이 파열되어 눈 안의 방수(각막과 수정체 사이에 차 있는 맑은 액체)가 각막 내로 흘러 들어가면 급성 원추각막 혹은 각막 수종이 발생되어 급격히 시력이 떨어질 수 있다. 각막 수종은 수 주에서 수 개월 지속되고 대개 서서히 줄어서 흉터로 대체되어 영구적인 시력저하를 유발하게 된다.

각막수종

각막수종

예방방법

아직까지 확실한 예방법은 없다. 알레르기 결막염인 봄철 각결막염, 아토피성 결막염과 원추각막 사이에 상호관계가 있음이 알려져 있으므로 이들 질환이 있는 경우 눈 비빔을 유발하는 가려움을 적절히 치료하는 것이 매우 중요하다. 청소년기에 시력 저하와 더불어 안경의 도수 변화가 심한 경우 원추 각막을 의심하여 안과검진을 해야 한다. 원추각막이 의심되거나 진단된 경우 6개월~1년에 한 번씩은 안과 진료를 통해 진행 여부를 확인해야 하며 현재 안경이나 콘택트렌즈가 적절한지 여부를 확인해야 한다. 부적절한 콘택트렌즈 사용은, 각막에 외상을 줄 수 있으므로 안과에서 적절한 콘택트렌즈를 처방 받아 사용하는 것이 중요하다.

식이요법/생활가이드

다음과 같은 사항에 유의한다. - 계속적인 눈 비빔은 각막에 작은 충격을 주어 원추각막의 진행을 빠르게 할 수 있으므로 눈을 비벼서는 안 된다. - 알레르기성 결막염이나 아토피 피부염이 있는 경우 가려움으로 인해 눈 비빔을 유발하기 쉬우므로 때문에 이러한 질환의 관리가 중요하다. 봄가을 환절기에 증상이 심해지는 경우가 많으므로 증상이 있을 경우 병원을 방문하여 조기에 치료를 받을 수 있도록 한다. - 원추각막으로 진단되거나 의심되는 경우에는 정기적인 안과 검진이 필수적이며 적절한 안경 처방이나 콘택트렌즈 처방을 통해 시력을 개선시킬 수 있다. 또한 원추각막의 진행하면서 합병증이 발생하게 되면 수술적 치료 방법이 제한되므로 정기적인 안과검사를 통해 치료의 시기를 놓치지 않도록 한다.

관련질병

아토피, 다운증후군, 불완전골생성증(osteogenesis imperfect), 엔로스 단로스 증후군(Ehlers-Danlos Syndrome), 선천성 고관절 이형성증, 헐거운눈꺼풀 증후군(floppy eyelid syndrome), 눈치아형성장애, 리이거 증후군, 소진피형성저하증(focal dermal hypoplasia), 손발톱무릎뼈 증후군, 아페르트 증후군, 머리얼굴뼈발생이상(craniofacial dysostosis), 크루존 증후군, 터너 증후군, 마르팡 증후군

관련 의료진
  • 김미금
    김미금 ( 金美昑 / Kim, Mee Kum ) [안과]

    세부전공 각막이식,   백내장,   원추각막,   각막,   노안,   쇼그렌증후군 각막염  

  • 김충영
    김충영 ( 金忠泳 / Chung Young Kim ) [안과]

    세부전공 백내장,   특수인공수정체,   각막 및 외안부 질환,   각막이식,   원추각막,   굴절교정수술 

  • 윤창호
    윤창호 ( 尹昶皓 / Chang Ho Yoon ) [안과]

    세부전공 각막,   원추각막,   백내장,   결막질환,   고도근시,   콘텍트렌즈,   굴절수술 

  • 최혁진
    최혁진 ( 崔赫鎭 / Hyuk Jin Choi ) [안과]

    세부전공 백내장,   각막염,   각막이식,   결막염,   공막염,   안구건조증,   익상편,   각결막종양,   원추각막,   굴절교정수술,   특수콘택트렌즈 

이메일주소 무단수집 거부

본 웹사이트에서는 이메일 주소가 무단 수집되는 것을 거부하며,
위반 시, 정보통신망법에 의해 처벌됨을 유념하시기 바랍니다.

뷰어 다운로드

뷰어는 파일 문서 보기만 지원하는 프로그램입니다.
뷰어로는 문서 내용을 수정하거나 삭제, 편집 할 수 없습니다.

서울대학교병원에서 사용하는 문서는 한글2002, 워드, 파워포인트, 엑셀, PDF(아크로뱃리더) 5가지 입니다.

사용하시는 컴퓨터에 해당 뷰어가 설치되어 있지 않은 경우 뷰어를 다운로드 받아 각 개인 컴퓨터에 설치하셔야 합니다.
뷰어는 사용하시는 컴퓨터에 한 번만 설치하시면 됩니다.

홈페이지 의견접수

서울대학교병원 홈페이지의

개선사항에 대한 의견을 보내주시면 검토하여보다
편리한 홈페이지
를 만들겠습니다.


※ 개별 답변을 드리는 창구가 아니오며,
병원에 대한 전반적인 문의는 전화'1588-5700' (예약문의: 1번, 기타: 2번)로,
불편이나 고충 관련고객의 소리로 접수 부탁드립니다.

홈페이지 의견접수 입력
홈페이지 의견접수(작성자, 구분, 제목, 내용)
작성자
구분
*제목
*내용

개인정보 수집/이용 목적

※ 개인정보 수집/이용 목적

1. 수집/이용 목적: 홈페이지 의견접수를 통한 개선사항 검토 및 반영
2. 수집하는 항목: 이름, 제목, 내용
3. 개인정보의 보유 및 이용기간 : 2년
4. 동의를 거부할 권리가 있으며, 전화예약상담(1588-5700)또는 고객상담실(02-2072-2002​)을 이용하실 수
   있습니다.

진료회원인증

최초 1회 진료회원 인증이 필요합니다.

서울대학교병원은 진료 예약 시 건강보험 가입여부 확인 및 진료회원 인증을 위해 주민등록번호 또는 환자번호(진찰권번호)를 수집하고 있습니다.

주민등록번호 수집 고지

개인정보 보호법 제15조 제1항 제2호에 따라, 정보주체의 동의 없이 개인정보를 수집·이용합니다.
- 수집 목적 : 건강보험 자격확인 및 진료회원인증
- 수집 근거 : 건강보험법 제12조, 의료법 제22조 및 동법 시행규칙 제14조
- 보유 기간 : 의료법 시행규칙 제15조에 따른 보존기간에 따름

이름
-
본인인증

전체 메뉴

전체 검색

전체 검색