서울대학교병원 배너
본문으로 바로가기

의학정보

비후성 심근증
[hypertrophic cardiomyopathy]

한 줄 설명

좌심실 비후를 유발할만한 대동맥판 협착증이나 고혈압과 같은 다른 증세 없이 좌심실벽이 두꺼워지는 질환

진료과 ?해당 과를 클릭 하면진료과로 바로 연결됩니다.

순환기내과

관련
신체기관

심장

관련 질병

돌연 심장사, 빈맥, 심부전

정의

좌심실 비후를 유발할만한 대동맥판 협착증이나 고혈압과 같은 다른 증세 없이 좌심실 벽이 두꺼워지는 심장 질환이다. 전체 인구 500명당 1명에서 발견되며, 다양한 형태의 좌심실 비후 소견이 관찰된다. 가장 흔하고 대표적인 특징은 비대칭적인 심실중격 비대(asymmetrical septal hypertrophy)와 변동성의 좌심실 유출로의 폐색(닫혀서 막힘)이다. 심실중격(심실을 좌우로 나누고 있는 사이의 벽) 비대를 보이는 환자의 약 30%에서 안정 시 좌심실 유출로의 폐색이 관찰되며, 발살바법(Valsalva maneuver, 배에 힘을 주어 복압을 높이는 행위를 말하는데 정맥환류를 감소시키게 됨) 등으로 폐색을 유발하면 30%의 환자에서 추가적으로 좌심실 유출로의 폐색이 관찰된다. 우리나라를 포함한 동아시아 지역에서는 심첨부(심장의 꼭지점 부분)의 비후를 보이는 심첨부 비후성 심근증이 흔하여 전체 환자의 30%를 넘는다. 이런 여러 증상의 환자에서 공통적으로 관찰되는 특징은 좌심실 비후에 의한 이완 기능의 장애로, 이는 환자의 증상을 결정하는 주요 원인이 된다.

비후성 심근증의 형태학적 분류

비후성 심근증의 형태학적 분류

원인

비후성 심근증은 유전적 이질성(genetic heterogeneity)을 지닌, 가장 흔한 가족성 심장질환이다. 11개 이상의 근절 유전자(sarcomeric gene)의 돌연변이가 비후성 심근증의 발생과 관련된 것으로 알려져 있다. 가장 흔한 유전자가 베타 마이오신 중쇄(beta-myosin heavy chain)와 마이오신 결합 단백질 C(myosin-binding protein C)이다. 다른 9개의 유전자는 훨씬 드물며, 트로포닌(troponin) T와 I, 알파 트로포마이신(alpha-tropomyosin) 등이 이에 속한다.

증상

좌심실의 수축 기능이 유지되면서 심부전의 증상이 발생하는 것이 특징적이다. 운동 시 호흡곤란, 피로감, 앉아서 몸을 굽히지 않으면 숨쉬기가 힘든 기좌호흡(orthopnea), 발작성 야간성 호흡 곤란 등이 특징적인 증상이다. 협심증과 유사한 특징적인 흉통이 동반될 수 있는데 이는 주로 좌심실의 미세혈관 이상에 의한 허혈 때문으로 생각된다. 실신이나 어지럼증, 두근거림 등의 증상이 부정맥에 의해 나타날 수 있으며, 심장 돌연사가 발생할 수도 있다. 심부전 증상은 주로 좌심실의 이완 기능 장애에 의한 것이므로 좌심실 유출로의 폐색이 있는 환자와 없는 환자 사이에 증상의 차이는 별로 없다.

진단/검사

신체검사에서 좌심실 유출로의 폐색이 동반된 환자에서는 심첨 박동이 2개 또는 3개로 나타나는 것이 특징적이며, 이는 심실 수축과 항진된 심방 수축 그리고 이완 초기의 좌심실 충만에 의해 나타난다. 신체검사에서 심잡음이 청진되는 경우가 흔한데, 좌심실 유출로의 폐색이 동반된 환자에서는 수축기 잡음이 흉골좌연을 따라 청진된다. 또 그 소리 크기가 환자의 자세, 발살바법, 운동 등에 따라 다양하게 변화되는 것이 특징이다. 심첨부에서 범수축기잡음이 청진될 수도 있는데 이는 동반된 승모판 역류증에 의한 것이다. 좌심실 유출로 폐색이 있는 환자에서는 경동맥파가 두 개로 관찰된다. 그러나 좌심실 유출로 폐색이 없는 환자에서는 이런 특징적 신체검사 소견이 거의 동반되지 않는다. 95%의 환자에서 심전도 이상 소견을 보이고, 증상이 없는 가족에서도 심전도 이상이 흔히 관찰된다. 좌심실 비대, ST-T 변화, 좌심방 확장, 깊고 얇은 Q파, 외측유도에서 R파의 감소 등이 대표적이다. 하지만 어떤 심전도 소견도 향후 심혈관계 사건을 예측하는 데는 유용하지 못하다. 비후성 심근증의 진단에 가장 유용한 검사는 심초음파 검사로 특징적인 비대칭적 심실중격 비후나 심첨부 비후가 관찰되고 승모판막의 수축기 전방 이동과 그로 인한 좌심실 유출로의 폐색, 승모판 역류증과 같은 다양한 소견을 관찰할 수 있다. 또한 환자의 심부전 증상을 유발하는 좌심실의 이완 기능을 평가하는 데 있어서도 심초음파는 매우 유용하다. 최근 심장 자기공명영상(MRI), 심장 컴퓨터 단층촬영(CT)의 발전으로 비후성 심근증의 진단에 있어 도움이 된다.

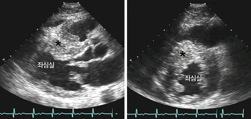
심실중격 비후성 심근증의 심초음파: 심실중격(*)이 좌심실 후벽에 비해 두꺼워져 있음

심실중격 비후성 심근증의 심초음파: 심실중격(*)이 좌심실 후벽에 비해 두꺼워져 있음

심첨부 비후성 심근증 검사

심첨부 비후성 심근증 검사

치료

급사를 예방하기 위해 삽입형 제세동기(ICD)가 효과적이다. 삽입형 제세동기는 심장마비나 심실 빈맥이 있었던 환자의 2차 예방을 목적으로 하는 경우 연간 11%의 심장마비를 예방할 수 있고, 한 가지 이상의 위험인자를 가진 환자에서 1차 예방을 목적으로 사용하는 경우 연간 4%의 심장마비를 예방할 수 있다. 따라서 급사의 위험인자를 가진 환자에서는 삽입형 제세동기를 적극 고려해야 한다. 증상이 없는 고위험군의 환자에서 아미오다론(amiodarone) 또는 베타차단제(beta blocker) 약물 치료가 시행되었으나 뚜렷한 효과가 증명되지 않았고, 무엇보다도 삽입형 제세동기와 같은 효과적인 대안이 있어 널리 사용되지 않는다. 심부전의 약물 치료에 대한 반응은 매우 다양하므로 각 환자에게 적당한 치료를 선택해야 한다. 베타차단제는 좌심실 유출로 폐색이 동반된 환자에서 널리 이용되었다. 심박수를 줄여 증상을 개선할 수 있고 좌심실 유출로 폐색도 완화시킬 수 있다. 베라파밀(verapamil)도 좌심실의 이완 기능을 호전시켜 증상 개선과 운동 능력 개선에 효과적이며 특히 좌심실 유출로 폐색이 없는 환자에서 효과적이다. 비후된 심실중격을 절제하는 심근절제술은 적절한 약물 치료에도 불구하고 심부전 증상이 지속되고 안정 시 50mmHg 이상의 좌심실 유출로 압력차가 있는 환자에서 적극 고려해야 한다. 심근절제술의 목적은 좌심실 유출로 폐색을 완화하여 심부전 증상을 개선하여 삶의 질을 향상하는 것이다. 실제로 95%의 환자에서 증상이 개선되고 25년 이상 장기 추적 관찰 결과 85%의 환자에서 증상이 개선되며 말 기심부전 등 심근절제술로 인한 합병증은 관찰되지 않았다. 또한 심근절제술이 장기 예후를 개선하고 급사도 줄인다는 보고도 있다. 하지만 증상이 없는 환자에서 심근절제술은 시행하지 않는다. 알코올을 이용한 심실중격 색전술이 심근절제술 대신 사용되기도 한다. 관상동맥을 통해 심실중격에 소량의 알코올을 주입하여 심근괴사를 유도하고 이에 따라 심실중격이 얇아지게 되고 좌심실 유출로 폐색을 완화시키는 치료법이다. 수술보다 비침습적이므로 흔히 사용되는데 아직까지 장기 예후에 미치는 영향 등 임상연구 결과가 필요한 실정이다.

경과/합병증

비후성 심근증의 연간 사망률은 약 1% 정도로 보고되고 있다. 임상 경과는 환자에 따라 매우 다양하다. 수십 년간 안정적인 상태를 유지하는 환자들도 있는데, 한 보고에 의하면 약 25%의 환자에서는 정상인과 다름없는 생활과 수명을 보인다. 하지만 일부 환자에서는 급사를 비롯한 심혈관계 사건들이 발생하며, 대표적인 심혈관계 사건들은 급사, 지속적인 심부전 증상의 악화, 말기 심부전, 심방세동과 그로 인한 전신 색전증이다. 특히 심실 부정맥에 의한 급사의 위험도를 평가하는 것이 중요하다. 비후성 심근증은 젊은 사람에서 급사의 가장 흔한 원인이다. 급사의 대표적인 위험인자들은 심실 빈맥 또는 심장마비가 있었던 환자, 급사의 가족력, 실신, 운동 시 혈압 저하, 홀터(Holter) 검사(24시간 동안 심전도 검사 장비를 부착하고 있으면서 그 동안의 심장박동의 상태를 측정하는 검사)상 비지속성 심실 빈맥, 30mm 이상의 심한 좌심실 비대 등이다.

예방방법

임상적으로 비후성 심근증 환자의 가족에 대한 검사는 유전자(DNA) 검사보다는 주로 심초음파 검사와 심전도 그리고 병력 청취와 신체검사를 시행한다. 대개 12~18개월마다 검사가 추천되며 12세부터 이런 선별검사를 시작한다. 21세 정도까지 비후성 심근증의 증거가 없는 경우 비후성 심근증을 유발하는 유전자 이상은 없는 것으로 결론 내릴 수 있다.

식이요법/생활가이드

무엇보다 의사의 지시에 따라 약물 치료를 꾸준히 지속하는 것이 중요하다. 과도한 운동은 심장의 부담을 증가시켜 급사 등 치명적인 결과를 초래할 수 있으므로 피해야 한다. 저염식이 심부전 증상을 완화하는 데 효과적이다.

관련질병

돌연 심장사, 빈맥, 심부전

관련 의료진
  • 이승표
    이승표 ( 李昇表 / Lee, Seung-Pyo ) [순환기내과]

    세부전공 가족성/유전성 심장/혈관 질환,   심장판막질환,   심근질환,   심부전,   비후성 심근증,   마르판 증후군,   가족성 고콜레스테롤혈증 

이메일주소 무단수집 거부

본 웹사이트에서는 이메일 주소가 무단 수집되는 것을 거부하며,
위반 시, 정보통신망법에 의해 처벌됨을 유념하시기 바랍니다.

뷰어 다운로드

뷰어는 파일 문서 보기만 지원하는 프로그램입니다.
뷰어로는 문서 내용을 수정하거나 삭제, 편집 할 수 없습니다.

서울대학교병원에서 사용하는 문서는 한글2002, 워드, 파워포인트, 엑셀, PDF(아크로뱃리더) 5가지 입니다.

사용하시는 컴퓨터에 해당 뷰어가 설치되어 있지 않은 경우 뷰어를 다운로드 받아 각 개인 컴퓨터에 설치하셔야 합니다.
뷰어는 사용하시는 컴퓨터에 한 번만 설치하시면 됩니다.

홈페이지 의견접수

서울대학교병원 홈페이지의

개선사항에 대한 의견을 보내주시면 검토하여보다
편리한 홈페이지
를 만들겠습니다.


※ 개별 답변을 드리는 창구가 아니오며,
병원에 대한 전반적인 문의는 전화'1588-5700' (예약문의: 1번, 기타: 2번)로,
불편이나 고충 관련고객의 소리로 접수 부탁드립니다.

홈페이지 의견접수 입력
홈페이지 의견접수(작성자, 구분, 제목, 내용)
작성자
구분
*제목
*내용

개인정보 수집/이용 목적

※ 개인정보 수집/이용 목적

1. 수집/이용 목적: 홈페이지 의견접수를 통한 개선사항 검토 및 반영
2. 수집하는 항목: 이름, 제목, 내용
3. 개인정보의 보유 및 이용기간 : 2년
4. 동의를 거부할 권리가 있으며, 전화예약상담(1588-5700)또는 고객상담실(02-2072-2002​)을 이용하실 수
   있습니다.

진료회원인증

최초 1회 진료회원 인증이 필요합니다.

서울대학교병원은 진료 예약 시 건강보험 가입여부 확인 및 진료회원 인증을 위해 주민등록번호 또는 환자번호(진찰권번호)를 수집하고 있습니다.

주민등록번호 수집 고지

개인정보 보호법 제15조 제1항 제2호에 따라, 정보주체의 동의 없이 개인정보를 수집·이용합니다.
- 수집 목적 : 건강보험 자격확인 및 진료회원인증
- 수집 근거 : 건강보험법 제12조, 의료법 제22조 및 동법 시행규칙 제14조
- 보유 기간 : 의료법 시행규칙 제15조에 따른 보존기간에 따름

이름
-
본인인증

전체 메뉴

전체 검색

전체 검색