서울대학교병원 배너
본문으로 바로가기

의학정보

수두증
[hydrocephalus]

한 줄 설명

뇌실과 지주막하 공간에 뇌척수액이 비정상적으로 축적된 상태

진료과 ?해당 과를 클릭 하면진료과로 바로 연결됩니다.

신경외과

정의

뇌에는 뇌척수액(cerebrospinal fluid, CSF)이라는 맑은 체액이 뇌의 안과 밖을 채운 채 순환하고 있다. 뇌의 안쪽에는 뇌실(ventricles)이라는 작은 빈 공간들이 있으며 이 곳에 있는 맥락총 혈관(choroids plexus vessels)에서 뇌척수액이 만들어진다. 뇌척수액은 혈액에서 적혈구나 백혈구 세포들이 제거된 혈장과 비슷한 액체이며, 생성된 뇌척수액은 뇌실의 구역을 따라 흘러서 소뇌 주변의 제4뇌실의 출구(basal foramina: foramina of Luschka and Magendie)를 통하여 뇌의 바깥쪽으로 나오게 된다. 뇌척수액은 척수 주변의 지주막하 공간(subarachnoid space)을 순환하고 뇌의 아래쪽 지주막하 공간(basal cisterns)을 지나 대뇌 표면의 지주막하 공간으로 모여 양 대뇌 반구 사이 천정을 지나는 상시상 정맥동(superior sagittal sinus) 안으로 흡수되어 혈액으로 되돌아간다. 뇌척수액은 뇌를 충격으로부터 완충하는 쿠션의 역할을 하고, 두개강 내의 압력을 골고루 분산하는 역할도 하며, 영양분이나 노폐물을 운반하는 역할도 하는 것으로 알려져 있다. 정상적으로 하루에 약 500ml의 뇌척수액이 만들어져 순환하고 있으며, 뇌와 척수 주변에 존재하는 뇌척수액의 총량은 신생아는 약 50ml, 소아는 약 100ml, 성인은 약 150ml 정도이다. 어떤 원인에 의하여 뇌실 내 맥락총 혈관에서 마지막 상시상 정맥동에 이르는 뇌척수액의 순환로가 일부 막히게 되면 뇌척수액이 두개강이나 척추강에 비정상적으로 축적되게 된다. 뇌척수액의 축적은 대부분의 경우 뇌압의 상승으로 이어지며 이로 인한 증상과 뇌 발달의 장애를 일으킨다. 급격한 뇌압 상승은 생명을 위협할 수도 있다. 선천적인 뇌와 척수의 구조 이상과 연관되어 나타나는 경우가 많아서 소아에게 많이 발생한다. 그러나 뇌출혈, 뇌종양, 중추신경계 감염과 같은 후천적인 질병과 연관된 경우는 소아뿐 아니라 성인에서도 나타나며 노인에서는 미세한 뇌척수액 순환장애로 인하여 뇌압이 높아지지 않는 가운데 뇌척수액이 축적되는 독특한 형태의 수두증이 나타난다. 뇌실에서 지주막하 공간에 이르는 길이 막혀있는 경우 뇌실만 확장되는 비교통성(non-communicating) 수두증이 발생하고, 제4뇌실의 출구 이후에 지주막하 공간에서 폐색이 있는 경우 뇌실과 지주막하 공간이 모두 확장되는 교통성(communicating) 수두증이 발생한다. 이 분류는 치료 방법을 결정하는 데 중요한 기준이 되기도 한다.

뇌척수액의 흐름

뇌척수액의 흐름

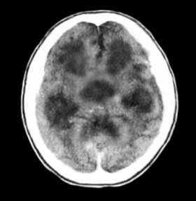
뇌수막염으로 교통성 수두증이 생긴 소아의 뇌 CT

뇌수막염으로 교통성 수두증이 생긴 소아의 뇌 CT

수두증

수두증

원인

선천적인 이유로 뇌실 내 지주막하낭종과 같은 낭종이 생겨 뇌실을 막거나, 제3뇌실과 제4뇌실을 이어주는 중뇌수도관(aqueduct of Sylvius)이 막혀 수두증이 발생할 수 있다. 제4뇌실 내 낭종과 소뇌 발달 이상이 동반되는 댄디-워커(Dandy-Walker) 증후군도 영아에게 수두증을 초래하는 중요한 원인이다. 한편, 척수수막류(myelomeningocele)가 있거나 키아리1형 기형(Chiari I malformation)이 있는 경우, 원인은 다소 불명확하나 뇌척수액 순환에 이상이 생겨 수두증이 흔히 나타난다. 후천척인 원인으로는 조산아가 뇌실 내 출혈이 있거나, 성인에서 뇌 지주막하 출혈이 있는 경우 수두증의 발생 빈도가 높다. 출혈로 응고된 혈액이 뇌실을 막거나 이 혈괴가 흡수되는 과정에서 지주막에 염증이 발생하여 뇌척수액 흐름에 장애가 생기는 것으로 생각된다. 뇌수막염과 같은 감염이 있는 경우 역시 지주막에 염증과 상처가 생기면서 수두증이 발생하기 쉽다. 뇌종양은 소아와 성인 모두 흔히 수두증을 동반하며 뇌종양의 치료와 수두증의 치료를 병행해야 하는 경우가 많다. 두부 외상에는 흔히 뇌출혈이 따르므로 역시 수두증이 생길 위험이 높다.

증상

천천히 발생하는 수두증은 연령에 따라서 다양한 증상이 나타난다. 2세 이하의 소아는 아직 두개골이 닫혀있지 않으므로 수두증이 진행되면 머리둘레가 비정상적으로 커지는 모습을 보이게 된다. 대천문이 볼록하게 튀어나오고 때로는 아이가 짜증을 많이 내거나 구토를 하는 모습을 보이며 계속 잠만 자는 경우도 있고, 눈이 아래로 처지거나 안쪽으로 모이는 모습을 보이기도 한다. 좀 더 큰 소아는 두통을 주로 호소하게 되는데. 두통은 날카롭지 않고 지속적이며 특히 아침에 깨었을 때 심하다. 구토를 자주 하거나 졸린 모습을 보이기도 하며, 취학 아동의 경우 학교성적이 떨어지고 이상 행동을 보이기도 한다. 대부분의 경우 뇌압의 상승으로 이어지며 이로 인한 증상과 뇌 발달의 장애를 일으킨다. 급격한 뇌압 상승은 생명을 위협할 수도 있다. 선천적인 뇌와 척수의 구조 이상과 연관되어 나타나는 경우가 많아서 소아에게 많이 발생한다. 그러나 뇌출혈, 뇌종양, 중추신경계 감염과 같은 후천적인 질병과 연관된 경우는 소아뿐 아니라 성인에서도 나타나며 노인에서는 미세한 뇌척수액 순환장애로 인하여 뇌압이 높아지지 않는 가운데 뇌척수액이 축적되는 독특한 형태의 수두증이 나타난다. 뇌출혈이나 매우 빨리 자라는 악성 뇌종양에 의한 급성 수두증은 급격한 뇌압 상승을 동반하는 매우 위험한 상황이다. 심한 두통과 구토가 나타나며 의식저하, 팔다리 강직을 보이고 강직성 발작(hydrocephalic fit)을 보이기도 하는 빠른 치료를 요하는 상황이다.

진단/검사

영아와 어린 소아는 머리둘레의 측정이 중요하다. 대천문의 압력, 안구운동의 검진이 필요하며, 좀 더 큰 소아 에서는 두통, 구토의 증상과 머리둘레의 측정, 안저 검사에서 시신경유두부종(papilledema) 유무 및 인지기능과 발달상태 평가가 필요하다. 성인은 두통이나 구토와 같은 자각증상과 안저 검사, 보행이상의 유무, 요실금 유무를 평가한다. 뇌실에서 지주막하 공간에 이르는 길이 막혀있는 경우 뇌실만 확장되는 비교통성(non-communicating) 수두증이 발생하고, 제4뇌실의 출구 이후에 지주막하 공간에서 폐색이 있는 경우 뇌실과 지주막하 공간이 모두 확장되는 교통성(communicating) 수두증이 발생한다. 열려있는 대천문을 통하여 두개강 초음파나 뇌 전산화 단층촬영(CT)으로 뇌실의 확장을 확인한다. 수두증의 원인에 대한 좀 더 자세한 검사로서 뇌 자기공명영상(MRI)이 널리 쓰이며, 뇌척수액의 흐름을 평가하기 위한 동영상 자기공명영상(cine-MRI)도 사용된다. 수두증으로 인하여 뇌압이 실제 높아져 있는지 확인할 필요가 있을 수 있으며, 뇌압 모니터를 두개강에 넣거나 요추 천자를 하여 압력을 측정하기도 한다.

치료

비수술적 치료 방법은 없다. 조산아가 뇌실 출혈이 있는 경우, 바로 션트 수술을 하면 실패율이 매우 높으므로 요추 천자나 뇌실 천자로 뇌척수액을 주기적으로 뽑아주는 경우가 있으나 이는 조산아가 수술을 견딜 수 있을 만큼 성숙할 때까지 임시 방편으로 뇌압을 줄여주는 방법이다. 뇌종양에 의하여 수두증이 생긴 경우, 뇌종양을 제거하면 수두증이 해결되는 경우가 많으나 종양 종류에 따라 10~40%의 환자는 수두증이 지속되어 치료를 요하게 된다. 션트 수술은 뇌실복강 단락술이라고도 하며, 뇌실에 얇은 관을 두고 뇌척수액을 두피 아래로 뽑아내어 이어진 관을 통하여 이를 복강으로 보낸 후 그 곳에서 복막을 통하여 다시 몸에 흡수되도록 하는 수술이다. 중간에 밸브 장치를 설치하여 뇌압의 높은 정도에 따라서 흐르는 뇌척수액의 양을 조절해준다. 복강의 상태가 수술등으로 좋지 않으면 가슴 폐주변의 흉강으로 넣기도 한다. 예전에는 밸브의 압력 수치를 조절하려면 다시 수술하여 밸브 자체를 교체해주었으나 최근에는 체외에서 조절 가능한 밸브가 개발되어 환자의 상태에 따라 쉽게 압력을 조절할 수 있다. 션트 수술은 수두증에 대한 가장 기본적인 수술로서 교통성 및 비교통성 수두증 모두 치료 가능하다. 내시경 제3뇌실 천공술(endoscopic 3rd ventriculostomy)은 비교통성 수두증에서 뇌실의 확장이 있을 때, 내시경을 통하여 제3뇌실에 들어가 제3뇌실의 바닥을 뚫어서 뇌실과 지주막하 공간 사이에 소통을 만드는 방법이다. 션트 장치를 넣지 않고 자연스러운 뇌척수액 순환과정을 이용한다는 큰 장점이 있으나, 비교통성 수두증에서만 주로 효과가 있으며, 뇌실의 크기가 어느 정도 커야 하고, 제3뇌실 바닥의 모양과 주변 혈관 구조물이 수술에 용이한 상태여야 하며, 만 1세 이상의 소아에서 시행해야 성공률이 높다는 제약이 있다. 또한 뇌출혈이나 중추신경계 감염으로 인한 수두증의 경우 상시상 정맥동의 뇌척수액 최종 흡수 부위가 막히는 경우가 많아서 제3뇌실 천공술의 효과가 많이 떨어진다고 알려져 있다. 제3뇌실 천공술로 수두증이 해결되지 않으면 션트 수술을 추가로 해야 한다.

경과/합병증

수두증이 있다면 반드시 치료를 요하며 치료하지 않으면 지속적인 뇌 손상이 발생하게 된다. 션트 수술은 대부분의 환자에서 빠른 증상의 호전을 가져오나 평생 동안 지속적인 관리를 요하는 단점이 있다. 션트 장치가 감염되거나 막히는 것이 가장 큰 문제이며 때로는 충격에 의해 기계적으로 파손되기도 한다. 재수술의 빈도가 높으며, 첫 션트 수술을 받고 2년 안에 50%가 재수술을 받는다는 연구결과가 있으며, 일생 동안 적어도 3번 재수술을 받는다는 통계가 있다. 내시경을 이용한 제3뇌실 천공술은 션트 수술의 단점을 많이 극복한 수술 방법으로서, 천공 부위가 다시 막혀 재수술을 요하는 경우가 매우 적어서 한 번 수술로 장기적인 유지가 가능하다. 그러나 모든 환자에게 가능하지는 않으며 환자의 나이, 수두증의 원인, 뇌의 해부학적인 구조 등에 따라 수술 적응증의 제약이 많고 수술 성공률도 영향을 받는다. 좋은 적응증의 환자를 대상으로 하였을 때 약 75%가 수두증이 해결되었다는 보고가 있지만 좋은 적응증이 아닌 경우 성공률이 50%가 되지 않는다. 또한 제3뇌실 천공술은 수술의 난이도와 합병증의 발생 비율이 션트 수술보다 높은 편이다.

식이요법/생활가이드

어릴 때 션트 수술을 받은 경우, 성장하면서 뇌척수액의 순환양상이 변하여 션트 장치의 압력과 맞지 않게 되거나 키가 많이 자라서 션트 장치의 길이가 짧아지는 것과 같은 문제가 발생할 수 있으므로 지속적인 외래상담과 진찰이 필요하다. 션트 장치가 갑자기 막히거나 파손되는 경우, 극단적으로 급성 수두증이 발생하여 의식이 저하되고 위험해질 수 있으므로 보호자나 교사가 이러한 가능성에 대한 정보를 가지고 이상이 있으면 즉시 병원으로 이송해야 한다.

관련 의료진
  • 김승기
    김승기 ( 金承基 / Kim, Seung-Ki ) [소아신경외과]

    세부전공 뇌종양,   뇌전증,   모야모야병,   소아뇌혈관질환,   수두증,   두개골조기유합증,   지주막낭종,   두피종괴 

  • 김주환
    김주환 ( 金周桓 / JOO WHAN KIM ) [소아신경외과]

    세부전공 모야모야병,   신경섬유종증,   소아청소년 뇌종양,   두개골조기유합증,   소아뇌혈관질환,   수두증,   유전성암,   두피종괴,   지주막낭종,   척추이분증(수막류, 요천추지방종),   신생아 딤플 

  • 김태훈
    김태훈 ( 金兌勳 / TAEHOON KIM ) [소아신경외과]

    세부전공 미숙아 뇌실내출혈,   수두증,   지주막낭종,   두부외상,   고위험 수술 후 중환자 관리,   수술전후 신경계 합병증 관리,   신경중환자의학,   모야모야병,   두개골조기유합증,   선천성 신경계 기형,   척추이분증(수막류, 요천추지방종),   신생아 딤플,   두피종괴 

  • 피지훈
    피지훈 ( 皮智薰 / Phi, Ji Hoon ) [소아신경외과]

    세부전공 뇌종양,   뇌전증 수술,   수두증,   모야모야병,   두개골조기유합증,   지주막낭종,   두피종괴,   외상 

  • 명호성
    명호성 ( / HO SUNG MYEONG ) [신경외과]

    세부전공 수두증,   본태성 진전/안면연축,   파킨슨병,   삼차신경통,   난치성 신경통증(중추성,말초성),   난치성 뇌전증,   암성통증,   뇌/척수손상 

이메일주소 무단수집 거부

본 웹사이트에서는 이메일 주소가 무단 수집되는 것을 거부하며,
위반 시, 정보통신망법에 의해 처벌됨을 유념하시기 바랍니다.

뷰어 다운로드

뷰어는 파일 문서 보기만 지원하는 프로그램입니다.
뷰어로는 문서 내용을 수정하거나 삭제, 편집 할 수 없습니다.

서울대학교병원에서 사용하는 문서는 한글2002, 워드, 파워포인트, 엑셀, PDF(아크로뱃리더) 5가지 입니다.

사용하시는 컴퓨터에 해당 뷰어가 설치되어 있지 않은 경우 뷰어를 다운로드 받아 각 개인 컴퓨터에 설치하셔야 합니다.
뷰어는 사용하시는 컴퓨터에 한 번만 설치하시면 됩니다.

홈페이지 의견접수

서울대학교병원 홈페이지의

개선사항에 대한 의견을 보내주시면 검토하여보다
편리한 홈페이지
를 만들겠습니다.


※ 개별 답변을 드리는 창구가 아니오며,
병원에 대한 전반적인 문의는 전화'1588-5700' (예약문의: 1번, 기타: 2번)로,
불편이나 고충 관련고객의 소리로 접수 부탁드립니다.

홈페이지 의견접수 입력
홈페이지 의견접수(작성자, 구분, 제목, 내용)
작성자
구분
*제목
*내용

개인정보 수집/이용 목적

※ 개인정보 수집/이용 목적

1. 수집/이용 목적: 홈페이지 의견접수를 통한 개선사항 검토 및 반영
2. 수집하는 항목: 이름, 제목, 내용
3. 개인정보의 보유 및 이용기간 : 2년
4. 동의를 거부할 권리가 있으며, 전화예약상담(1588-5700)또는 고객상담실(02-2072-2002​)을 이용하실 수
   있습니다.

진료회원인증

최초 1회 진료회원 인증이 필요합니다.

서울대학교병원은 진료 예약 시 건강보험 가입여부 확인 및 진료회원 인증을 위해 주민등록번호 또는 환자번호(진찰권번호)를 수집하고 있습니다.

주민등록번호 수집 고지

개인정보 보호법 제15조 제1항 제2호에 따라, 정보주체의 동의 없이 개인정보를 수집·이용합니다.
- 수집 목적 : 건강보험 자격확인 및 진료회원인증
- 수집 근거 : 건강보험법 제12조, 의료법 제22조 및 동법 시행규칙 제14조
- 보유 기간 : 의료법 시행규칙 제15조에 따른 보존기간에 따름

이름
-
본인인증

전체 메뉴

전체 검색

전체 검색