서울대학교병원 배너
본문으로 바로가기

의학정보

이마관자엽 변성
[frontotemporal degeneration]

한 줄 설명

이마앞엽(전두엽)과 앞관자엽(측두엽)에 국한된 병리적 변화로 인해 행동 및 성격 변화가 주로 나타나는 퇴행성 치매

진료과 ?해당 과를 클릭 하면진료과로 바로 연결됩니다.

신경과 ,   정신건강의학과

관련
신체기관

정의

이마관자엽변성은 이마앞엽(전두엽)과 앞관자엽(측두엽)에 국한된 병리적 변화로 인해 행동 및 성격 변화가 주로 나타나는 퇴행성 치매이다. 인지기능 중에서 언어기능과 수행기능이 주로 손상되며, 알츠하이머병과 달리 기억력은 비교적 보존되는 특징을 보인다. 전체 치매의 약 5% 정도에서 관찰된다고 추정된다. 이마관자엽변성은 45~65세에 발병하며, 알츠하이머병에 비해 보다 이른 시기에 나타나는 편이다.

원인

이마관자엽변성의 원인은 아직 알려져 있지 않지만, 일부에서 유전적인 원인이 작용한다는 보고가 있다.

증상

이마관자엽변성은 주요 증상에 따라 세 가지 아형으로 나눌 수 있다. 이마관자엽치매는 성격이나 행동이 점차 변하고 탈억제(disinhibition; 억제를 못함)에 의한 증상이 나타나며 본인이 질환을 앓고 있다는 인식이 없는 것이 특징이다. 탈억제 증상은 주로 충동적이고 강박적인 행동을 보이는 것으로 나타나며, 상황에 맞지 않는 부적절한 행동, 반사회적인 행위, 또는 비정상적인 성적 행동을 보이기도 한다. 일부에서는 자발성이 없어지고 일에 대한 의지나 동기가 없어지며 집중력이 떨어지는 모습을 보이기도 한다. 진행비유창실어증은 단어의 의미나 명칭을 알고 있지만 이름을 대거나 필요한 단어를 사용하여 적절하고 유창하게 의사 표현을 하지 못하는 것이 특징이며, 말의 의미에 대한 기억이나 이해력은 정상이다. 의미치매는 말의 유창함은 비교적 유지되지만 필요한 말이나 적절한 단어 사용이 불가능하여 말의 내용이 없거나 알 수 없게 되는 아형을 말한다.

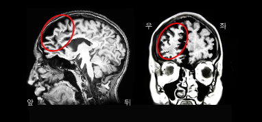
이마관자엽 치매 환자의 MRI. 전두엽이 위축이 두드러짐.

이마관자엽 치매 환자의 MRI. 전두엽이 위축이 두드러짐.

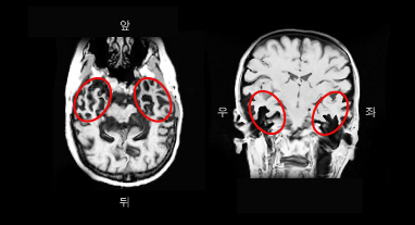
의미 치매 환자의 MRI. 측두엽의 위축이 두드러짐.

의미 치매 환자의 MRI. 측두엽의 위축이 두드러짐.

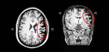
진행성 비유창성 실어증 환자의 MRI. 브로카영역의 위축이 두드러짐.

진행성 비유창성 실어증 환자의 MRI. 브로카영역의 위축이 두드러짐.

진단/검사

다른 치매와 마찬가지로 신경심리검사를 통하여 치매 여부를 판단하고, 그 아형을 분류한다. 또한 뇌 자기공명영상(뇌 MRI) 및 양성자단층촬영(PET) 등으로 다른 치매와 감별을 시도한다. 이마관자엽변성 환자의 MRI를 보면 이마관자엽치매(FTD)는 전두엽의 위축이 두드러지고, 의미치매는 측두엽의 위축, 그리고 진행성비유창성실어증은 브로카영역의 위축이 뚜렷하다.

치료

현재 이마관자엽변성의 진행을 지연시키거나 완치를 기대할 수 있는 약물은 없다. 증상 중 우울증, 충동성, 강박행동 등은 선택적세로토닌재흡수억제제(selective serotonin reuptake inhibitor; SSRI)로 완화될 수 있지만 인지기능의 손상 완화는 기대하기 어렵다. 불안감, 공격성 등의 이상 행동은 항경련제 및 비정형 항정신병제를 투여하여 조절할 수 있다.

경과/합병증

이마관자엽변성의 발병에서 사망까지 평균 생존기간은 약 6~8년이다. 일반적으로 병의 진행 속도가 알츠하이머병보다 빠른 편이며, 특히 운동신경세포병이 동반된 이마관자엽치매 아형에서는 생존 기간이 좀 더 짧은 편이다.

예방방법

이마관자엽 변성을 예방할 수 있는 특별한 방법은 없다.

이메일주소 무단수집 거부

본 웹사이트에서는 이메일 주소가 무단 수집되는 것을 거부하며,
위반 시, 정보통신망법에 의해 처벌됨을 유념하시기 바랍니다.

뷰어 다운로드

뷰어는 파일 문서 보기만 지원하는 프로그램입니다.
뷰어로는 문서 내용을 수정하거나 삭제, 편집 할 수 없습니다.

서울대학교병원에서 사용하는 문서는 한글2002, 워드, 파워포인트, 엑셀, PDF(아크로뱃리더) 5가지 입니다.

사용하시는 컴퓨터에 해당 뷰어가 설치되어 있지 않은 경우 뷰어를 다운로드 받아 각 개인 컴퓨터에 설치하셔야 합니다.
뷰어는 사용하시는 컴퓨터에 한 번만 설치하시면 됩니다.

홈페이지 의견접수

서울대학교병원 홈페이지의

개선사항에 대한 의견을 보내주시면 검토하여보다
편리한 홈페이지
를 만들겠습니다.


※ 개별 답변을 드리는 창구가 아니오며,
병원에 대한 전반적인 문의는 전화'1588-5700' (예약문의: 1번, 기타: 2번)로,
불편이나 고충 관련고객의 소리로 접수 부탁드립니다.

홈페이지 의견접수 입력
홈페이지 의견접수(작성자, 구분, 제목, 내용)
작성자
구분
*제목
*내용

개인정보 수집/이용 목적

※ 개인정보 수집/이용 목적

1. 수집/이용 목적: 홈페이지 의견접수를 통한 개선사항 검토 및 반영
2. 수집하는 항목: 이름, 제목, 내용
3. 개인정보의 보유 및 이용기간 : 2년
4. 동의를 거부할 권리가 있으며, 전화예약상담(1588-5700)또는 고객상담실(02-2072-2002​)을 이용하실 수
   있습니다.

진료회원인증

최초 1회 진료회원 인증이 필요합니다.

서울대학교병원은 진료 예약 시 건강보험 가입여부 확인 및 진료회원 인증을 위해 주민등록번호 또는 환자번호(진찰권번호)를 수집하고 있습니다.

주민등록번호 수집 고지

개인정보 보호법 제15조 제1항 제2호에 따라, 정보주체의 동의 없이 개인정보를 수집·이용합니다.
- 수집 목적 : 건강보험 자격확인 및 진료회원인증
- 수집 근거 : 건강보험법 제12조, 의료법 제22조 및 동법 시행규칙 제14조
- 보유 기간 : 의료법 시행규칙 제15조에 따른 보존기간에 따름

이름
-
본인인증

전체 메뉴

전체 검색

전체 검색