서울대학교병원 배너
본문으로 바로가기

의학정보

교모세포종
[glioblastoma]

한 줄 설명

뇌의 교세포에서 발생한 종양 중 조직학적으로 핵의 비정형성, 유사분열상, 혈관내피세포의 증식, 괴사가 관찰되는 악성도가 가장 높은 종양.

진료과 ?해당 과를 클릭 하면진료과로 바로 연결됩니다.

신경외과 ,   혈액종양내과 ,   방사선종양학과

관련
신체기관

정의

신경 교종은 정상적으로 뇌조직에 풍부하게 존재하고 있는 신경교세포에서 기원한 종양을 통틀어 일컫는 말로서 조직학적으로 악성도를 다시 4개의 등급으로 분류한다. 조직학적 기준으로는 핵의 비정형성, 유사분열성, 혈관내피세포의 증식, 괴사 등을 기준으로 하며 이러한 기준들이 충족되면 신경교종 중 가장 악성인 4등급의 교모세포종으로 진단내리게 된다.

원인

악성 교모세포종은 전체 뇌종양의 12~15%를 차기하고, 뇌 교종의 50~60%를 차지하는 뇌에 발생하는 단일 종양 중 가장 많이 발생하는 종양이다. 미국의 통계에 의하면 비록 성인 전체 암의 2%정도를 차지하고 1년에 10만명 당 5명의 빈도로 발생하지만 암 관련 사망은 4위에 해당한다. 남녀 비율은 1.6:1로 남자에서 약간 높은 편이며 소아에서는 발생빈도가 성인에 비해 1/10이하이다. 현재 종양의 발생기전에 대해 여러 연구가 진행 중이며 가장 주목 받고 있는 사실은 종양 세포에서는 유전자적 변이가 일어난다는 사실이다. 정상세포에서는 발견되지 않는 이러한 유전적 변이의 원인으로는 유전성 증후군, 화학적 발암 물질, 방사선, 바이러스 등이 제시되고 있지만 어떤 원인이 정확히 어떻게 유전적 변이를 일으키는지에 대해서는 연구가 계속 필요하다. 일반인에 비해 교모세포종의 발병이 높은 유전적 증후군으로는 Turcot 증후군, 결절성 경화증(Tuberous sclerosis), 신경섬유종증 1형, 2형(Neurofibromatosis type 1 and 2), 리 프라우메니 증후군(Li-Fraumeni syndrome)등이 있으나 이러한 유전적 증후군에서 종양이 꼭 발병하지는 않는다.

증상

교모세포종은 매우 빠르게 성장하는 종양이며 이로 인해 뇌압이 급속히 상승하여 두통(아침에 심함), 메슥거림(오심), 구토 등이 있으며 성인의 경우에는 경련이 자주 발생한다. 이외에도 종양 자체 또는 종양에 동반된 뇌 부종으로 인해 인근 신경의 기능이 저하되어 사지 운동 또는 감각 저하, 얼굴마비, 언어장애, 인지기능 저하, 좌-우 구분장애 등 다양한 증상이 나타날 수 있다. 이러한 신체 일부의 신경학적 결손은 종양의 발생 위치에 따라 매우 다양하여 어느 증상 하나만으로 진단을 내릴 수는 없다.

진단/검사

이전에 경련의 병력이 없던 성인의 첫 경련, 지속적으로 심해지면서 메슥거림(오심)과 구토를 동반한 두통, 외상의 병력이 없는 팔다리의 운동 또는 감각저하 등의 증상이 있을 때 의심하며 신경학적 검사 이후 뇌 영상 검사(CT, MR 등)을 시행하게 된다. 조직학적으로 악성도를 다시 4개의 등급으로 분류한다. 조직학적 기준으로는 핵의 비정형성, 유사분열성, 혈관내피세포의 증식, 괴사 등을 기준으로 하며 이러한 기준들이 충족되면 신경교종 중 가장 악성인 4등급의 교모세포종으로 진단내리게 된다. 가장 기본적인 검사는 조영제를 이용한 뇌 컴퓨터 단층촬영이지만 종양이 작거나 주변의 부종이 적을 경우 발견되지 않을 수 있다. 따라서 교모세포종이 의심될 경우에 뇌 자기공명영상(MRI)은 필수적이며 수술 전 및 후에도 재발을 판단하기 위해 매우 중요한 검사이다. 그러나 뇌 자기공명영상만으로 종양의 악성도를 판단하기 어려운 경우이거나 전이성 뇌종양과의 감별을 위해서 양전자 방출 단층촬영(PET)을 시행하기도 하고, 종양의 위치에 따라 뇌 혈관 조영술, 뇌자도검사(MEG) 등 기타의 검사가 추가되기도 한다.

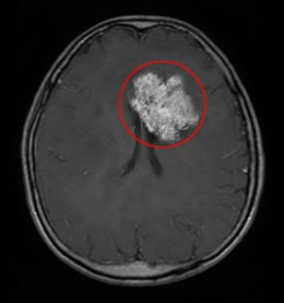
교모세포종의 MRI 소견

교모세포종의 MRI 소견

치료

일반적으로 수술적 제거를 통해 최대한 종양을 절제한다. 하지만 뇌 조직에서는 종양이 있다고 해서 무조건 제거할 경우 심각한 합병증이 남을 수 있기 때문에 절제의 범위를 신중하게 결정해야 한다. 수술은 일반적으로 전신마취 하에 시행하며 경우에 따라 의식이 있는 상태에서 통증을 없애고 수술(awake surgery)을 시행하기도 한다. 종양의 위치가 의식 중추나 운동 중추에 있을 경우, 뇌 심부에 위치할 경우에는 뇌정위적 방법(머리에 정위기계를 고정하여 뇌 속 병소 위치를 정한 후 두개골을 절개하여 구멍을 뚫고 종양을 제거하는 방법)을 통해 국소마취 하에 조직검사만을 시행하기도 한다. 수술 후 떼어낸 조직을 통해 조직학적으로 교모세포종이 확진 된 후에는 방사선 치료와 항암치료를 시행하게 된다. 이 때 환자의 전신상태가 좋지 못하면 이러한 치료를 받기 어렵기 때문에 전신상태의 관리가 중요하다. 방사선 치료는 약 6주간 시행하게 되고, 최근에는 방사선 치료를 하면서 동시에 항암제를 투여한 후 추후 항암제만을 투여한다. 방사선 치료 전에 항암요법을 시행하기도 하며 이는 환자에 따라 조금씩 달라지게 된다.

식이요법/생활가이드

치료 중 경련이 있을 수 있으므로 항경련제의 투약을 지속적으로 유지해야 하며, 이로 인해 다른 약물과 약물 상호작용이 있을 수 있어 다른 약물을 복용할 때는 주치의와 반드시 상의해야 한다. 또한 치료 진행 중 두통, 오심, 구토 등이 있으면 반드시 의료진과 상담한다. 검증되지 않는 치료에 의존하기 보다는 긍정적인 생각을 가지고 적극적으로 치료에 임하도록 한다.

관련 의료진
  • 박철기
    박철기 ( 朴哲基 / Park, Chul-Kee ) [신경외과]

    세부전공 교모세포종,   신경교종,   뇌수막종,   형광유도수술,   뇌기능매핑수술,   각성수술,   시뮬레이션보조수술,   뇌종양 

이메일주소 무단수집 거부

본 웹사이트에서는 이메일 주소가 무단 수집되는 것을 거부하며,
위반 시, 정보통신망법에 의해 처벌됨을 유념하시기 바랍니다.

뷰어 다운로드

뷰어는 파일 문서 보기만 지원하는 프로그램입니다.
뷰어로는 문서 내용을 수정하거나 삭제, 편집 할 수 없습니다.

서울대학교병원에서 사용하는 문서는 한글2002, 워드, 파워포인트, 엑셀, PDF(아크로뱃리더) 5가지 입니다.

사용하시는 컴퓨터에 해당 뷰어가 설치되어 있지 않은 경우 뷰어를 다운로드 받아 각 개인 컴퓨터에 설치하셔야 합니다.
뷰어는 사용하시는 컴퓨터에 한 번만 설치하시면 됩니다.

홈페이지 의견접수

서울대학교병원 홈페이지의

개선사항에 대한 의견을 보내주시면 검토하여보다
편리한 홈페이지
를 만들겠습니다.


※ 개별 답변을 드리는 창구가 아니오며,
병원에 대한 전반적인 문의는 전화'1588-5700' (예약문의: 1번, 기타: 2번)로,
불편이나 고충 관련고객의 소리로 접수 부탁드립니다.

홈페이지 의견접수 입력
홈페이지 의견접수(작성자, 구분, 제목, 내용)
작성자
구분
*제목
*내용

개인정보 수집/이용 목적

※ 개인정보 수집/이용 목적

1. 수집/이용 목적: 홈페이지 의견접수를 통한 개선사항 검토 및 반영
2. 수집하는 항목: 이름, 제목, 내용
3. 개인정보의 보유 및 이용기간 : 2년
4. 동의를 거부할 권리가 있으며, 전화예약상담(1588-5700)또는 고객상담실(02-2072-2002​)을 이용하실 수
   있습니다.

진료회원인증

최초 1회 진료회원 인증이 필요합니다.

서울대학교병원은 진료 예약 시 건강보험 가입여부 확인 및 진료회원 인증을 위해 주민등록번호 또는 환자번호(진찰권번호)를 수집하고 있습니다.

주민등록번호 수집 고지

개인정보 보호법 제15조 제1항 제2호에 따라, 정보주체의 동의 없이 개인정보를 수집·이용합니다.
- 수집 목적 : 건강보험 자격확인 및 진료회원인증
- 수집 근거 : 건강보험법 제12조, 의료법 제22조 및 동법 시행규칙 제14조
- 보유 기간 : 의료법 시행규칙 제15조에 따른 보존기간에 따름

이름
-
본인인증

전체 메뉴

전체 검색

전체 검색